Perfil inicial
Perfil final
Imagem inicial com assimetria de face
Imagem final
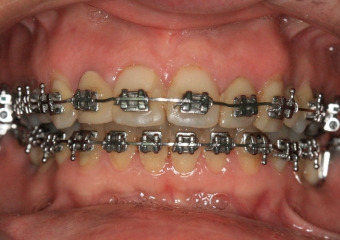
Mordida inicial
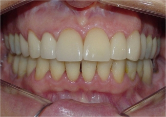
Mordida final
Mordida perfil inicial
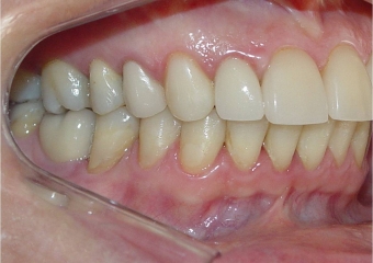
Mordida perfil final
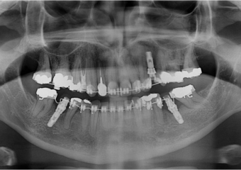
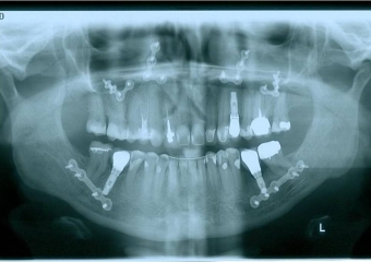
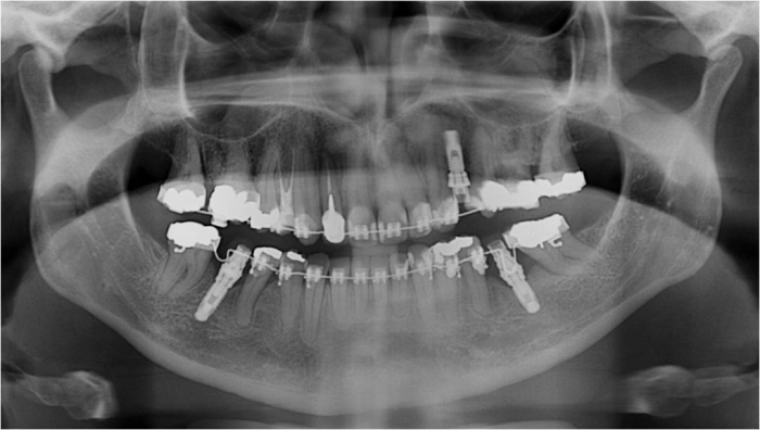
Raio x panorâmico inicial
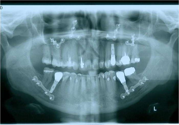
Raio x panorâmico final
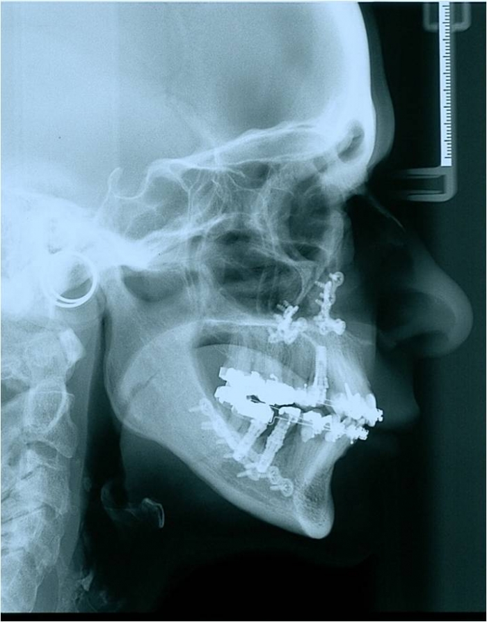
Telerradiografia inicial
Telerradiografia após a cirurgia
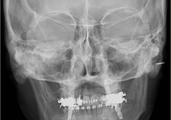
Telerradiografia frontal inicial
Telerradiografia frontal após a cirurgia