Agende um horário
Clique nas imagens para ampliar
Perfil inicial
Perfil após a cirurgia
Sorriso inicial
sorriso após a cirurgia
Foto após a cirurgia
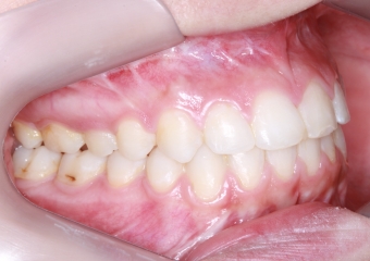
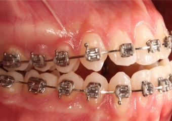
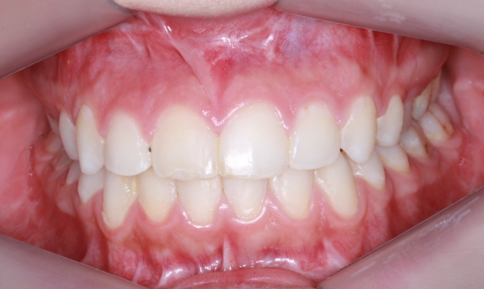
Mordida inicial
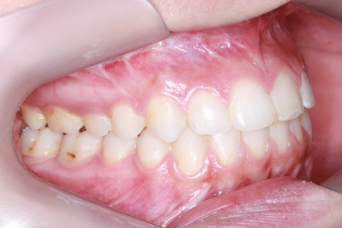
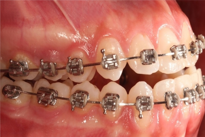
Oclusão após a cirurgia
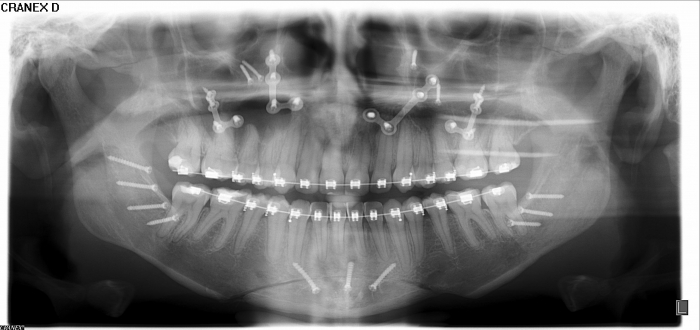
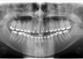
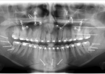
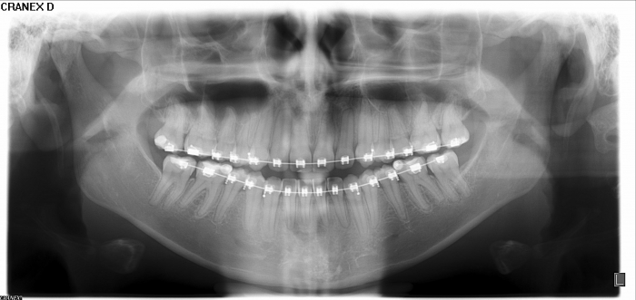
Rx panorâmico inicial
Rx panorâmico apos a cirurgia
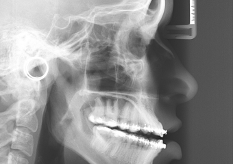
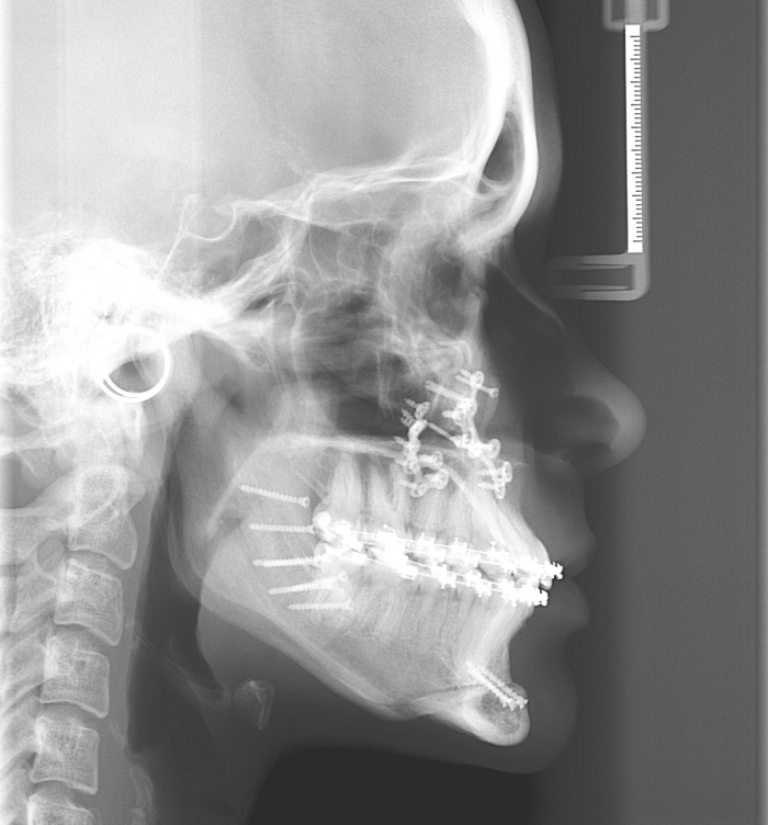
Telerradiografia inicial
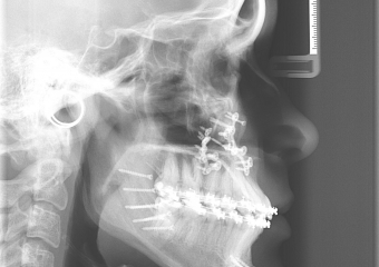
Telerradiografia após a cirurgia
Praça da Bíblia, 3336 | Edf. Cemed - Sala 601 | Umuarama - Pr | 44 3622-6161