CASOS CLÍNICOS - Cirurgia Ortognática - Assimetria Facial


Caso 03 - Cirurgia Ortognática de Assimetria Facial

Clique nas imagens para ampliar

Imagem inicial - Clínica Cliniface

Imagem inicial

 Imagem após a cirurgia - Clínica Cliniface

Imagem após a cirurgia

Sorriso inicial - Clínica Cliniface

Sorriso inicial

Sorriso após a cirurgia - Clínica Cliniface

Sorriso após a cirurgia

Imagem perfil inicial - Clínica Cliniface

Imagem perfil inicial

 Imagem perfil após a cirurgia - Clínica Cliniface

Imagem perfil após a cirurgia

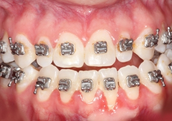
Mordida inicial - Clínica Cliniface

Mordida inicial

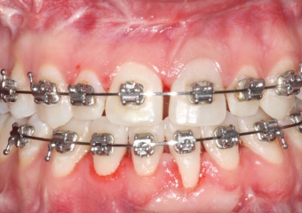
Mordida após a cirurgia - Clínica Cliniface

Mordida após a cirurgia

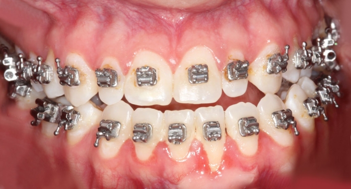
Mordida inicial - Clínica Cliniface

Mordida inicial

Mordida inicial - Clínica Cliniface

Mordida inicial

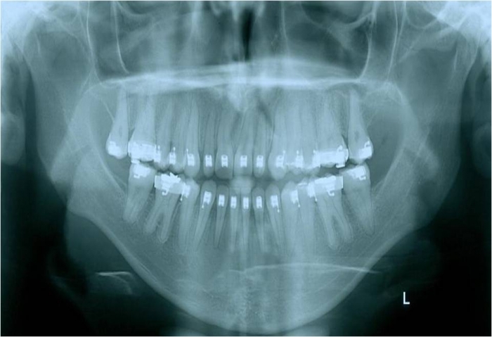
Rx inicial - Clínica Cliniface

Rx inicial

 Rx após a cirurgia - Clínica Cliniface

Rx após a cirurgia

Telerradiografia frontal inicial - Clínica Cliniface

Telerradiografia frontal inicial

 Telerradiografia frontal após a cirurgia - Clínica Cliniface

Telerradiografia frontal após a cirurgia

Telerradiografia inicial - Clínica Cliniface

Telerradiografia inicial

Telerradiografia após a cirurgia - Clínica Cliniface

Telerradiografia após a cirurgia

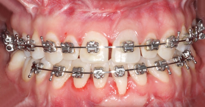
Imagem após 7 meses da data da cirurgia - Clínica Cliniface

Imagem após 7 meses da data da cirurgia



Praça da Bíblia, 3336 | Edf. Cemed - Sala 601 | Umuarama - Pr | 44 3622-6161