Perfil inicial
Perfil final
Imagem inicial com assimetria de face
Imagem após a cirurgia
Mordida inicial
Mordida inicial
Mordida após a cirurgia
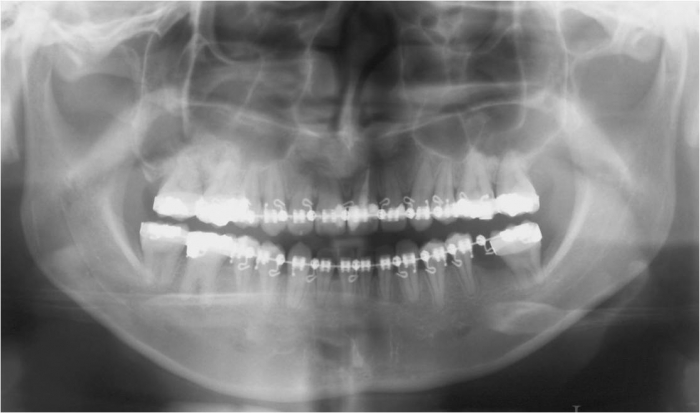
Raio x panorâmico inicial
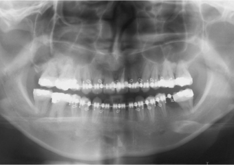
Raio x panorâmico após a cirurgia
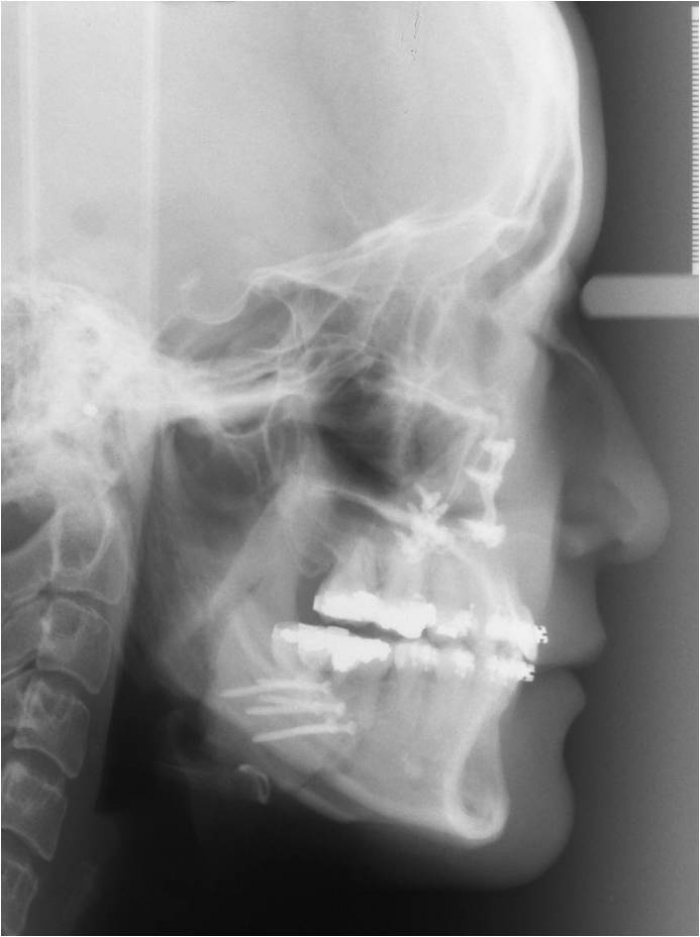
Telerradiografia inicial
Telerradiografia após a cirurgia