Perfil inicial
Perfil final
Imagem inicial com assimetria de face
Imagem final
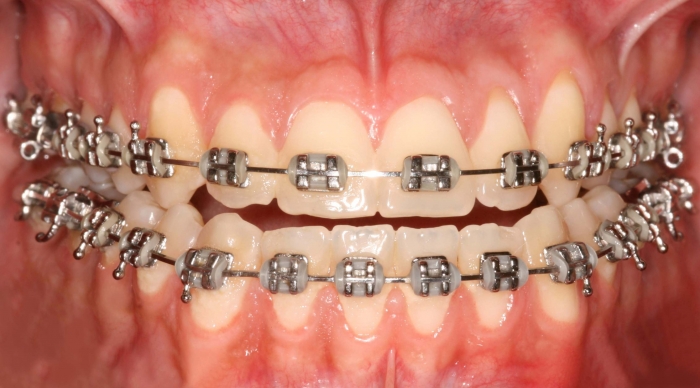
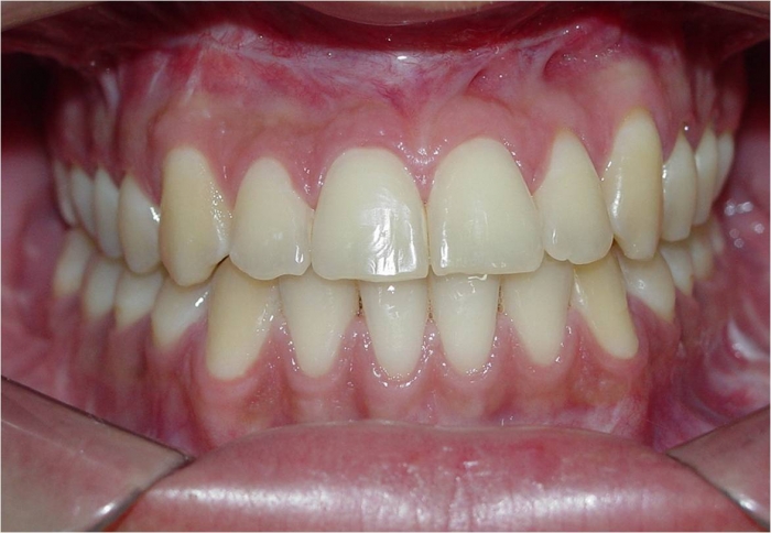
Mordida inicial
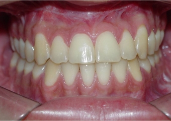
Mordida final
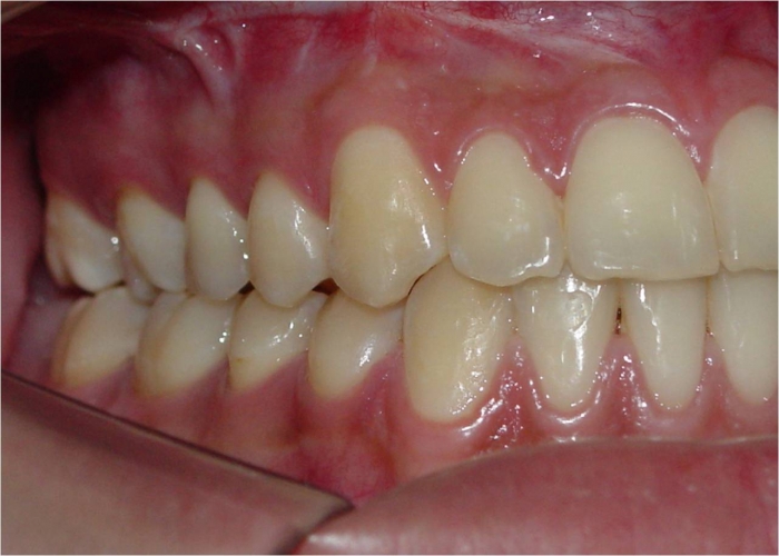
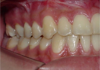
Mordida perfil inicial
Mordida perfil final
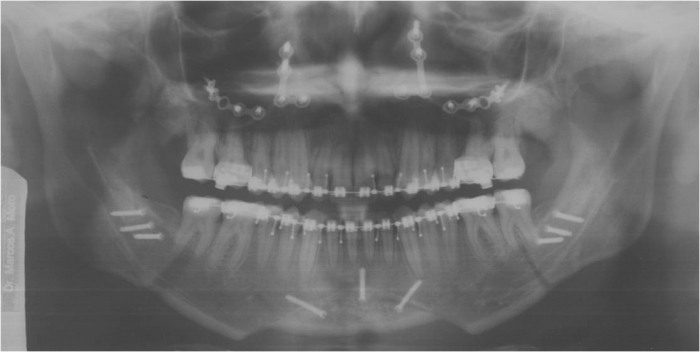
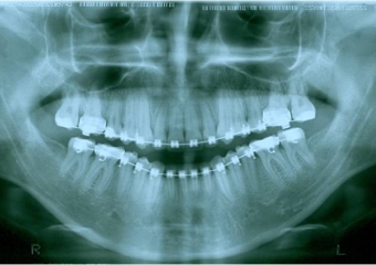
Raio x panorâmico inicial
Raio x panorâmico após a cirurgia
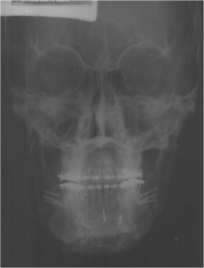
Telerradiografia frontal inicial
Telerradiografia frontal após a cirurgia