CASOS CLÍNICOS - Cirurgia Ortognática - Assimetria Facial


Caso 06 - Cirurgia Ortognática de Assimetria Facial

Clique nas imagens para ampliar

Imagens iniciais com assimetria de face - Clínica Cliniface

Imagens iniciais com assimetria de face

Sorriso após a cirurgia - Clínica Cliniface

Sorriso após a cirurgia

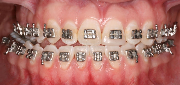
Mordida inicial - Clínica Cliniface

Mordida inicial

Mordida após a cirurgia - Clínica Cliniface

Mordida após a cirurgia

Mordida perfil inicial - Clínica Cliniface

Mordida perfil inicial

Mordida perfil após a cirurgia - Clínica Cliniface

Mordida perfil após a cirurgia

Raio x panorâmico inicial - Clínica Cliniface

Raio x panorâmico inicial

Raio x panorâmico após a cirurgia - Clínica Cliniface

Raio x panorâmico após a cirurgia

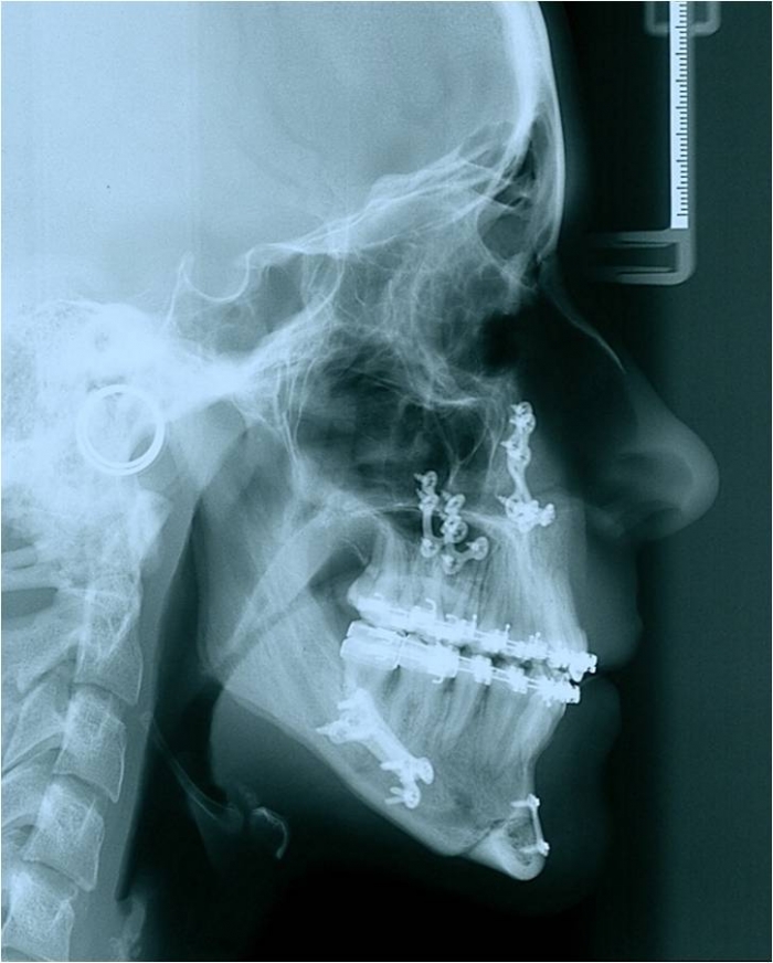
Telerradiografia de perfil inicial - Clínica Cliniface

Telerradiografia de perfil inicial

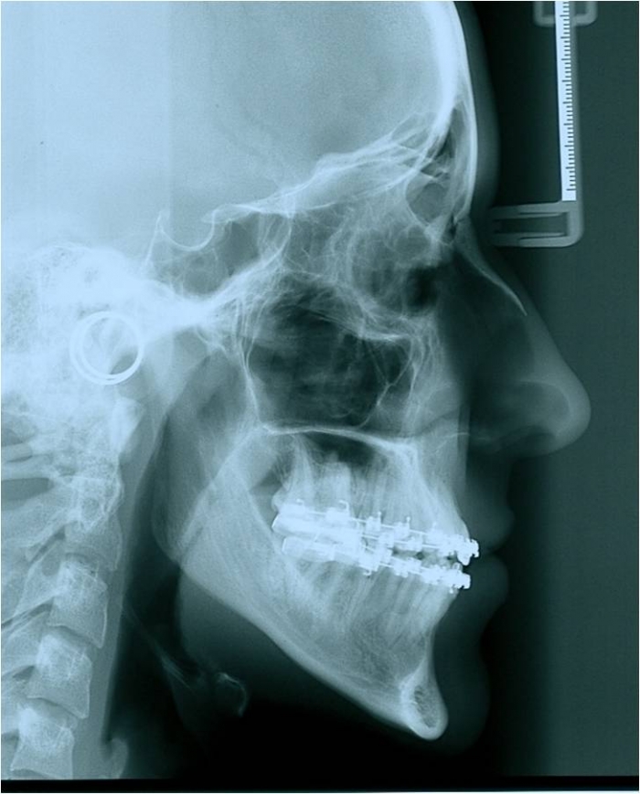
Telerradiografia de perfil após a cirurgia - Clínica Cliniface

Telerradiografia de perfil após a cirurgia

Telerradiografia frontal inicial - Clínica Cliniface

Telerradiografia frontal inicial

Telerradiografia frontal após a cirurgia - Clínica Cliniface

Telerradiografia frontal após a cirurgia



Praça da Bíblia, 3336 | Edf. Cemed - Sala 601 | Umuarama - Pr | 44 3622-6161