Perfil inicial
Perfil final
Imagem inicial com assimetria de face
Imagem final
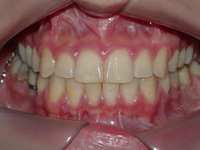
Mordida inicial
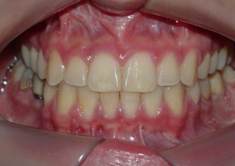
Mordida final
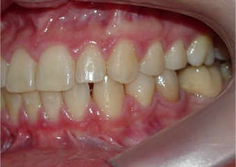
Mordida perfil inicial
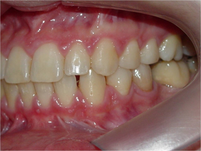
Mordida perfil final
Raio x panorâmico inicial
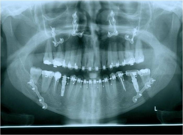
Raio x panorâmico após a cirurgia
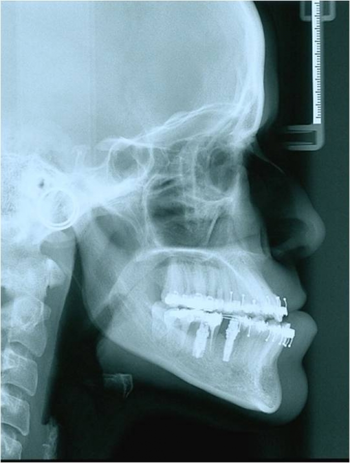
Telerradiografia inicial
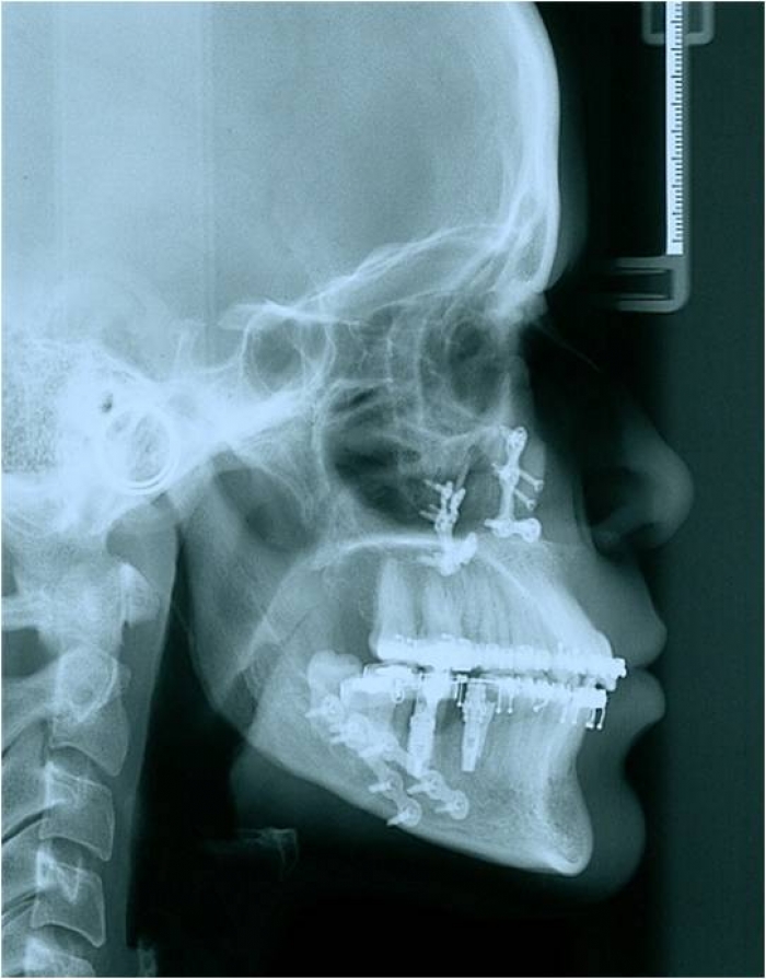
Telerradiografia após a cirurgia
Telerradiografia frontal inicial
Telerradiografia frontal após a cirurgia