CASOS CLÍNICOS - Cirurgia Ortognática - Assimetria Facial


Caso 08 - Cirurgia Ortognática de Assimetria Facial

Clique nas imagens para ampliar

Imagem perfil inicial - Clínica Cliniface

Imagem perfil inicial

Imagem perfil após a remoção do aparelho - Clínica Cliniface

Imagem perfil após a remoção do aparelho

Imagem inicial apresentado assimetria de face - Clínica Cliniface

Imagem inicial apresentado assimetria de face

Imagem após a remoção do aparelho - Clínica Cliniface

Imagem após a remoção do aparelho

Imagem mordida inicial - Clínica Cliniface

Imagem mordida inicial

Imagem mordida após remoção do aparelho - Clínica Cliniface

Imagem mordida após remoção do aparelho

Imagem mordida de perfil inicial  - Clínica Cliniface

Imagem mordida de perfil inicial

 Imagem mordida após remoção do aparelho - Clínica Cliniface

Imagem mordida após remoção do aparelho

Raio x panorâmico inicial  - Clínica Cliniface

Raio x panorâmico inicial

Raio x panorâmico final - Clínica Cliniface

Raio x panorâmico final

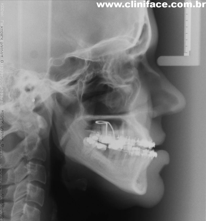
Telerradiografia inicial  - Clínica Cliniface

Telerradiografia inicial

Telerradiografia final - Clínica Cliniface

Telerradiografia final



Praça da Bíblia, 3336 | Edf. Cemed - Sala 601 | Umuarama - Pr | 44 3622-6161