Agende um horário
Clique nas imagens para ampliar
Imagem inicial com assimetria de face
Imagem final
Mordida inicial
Mordida após remoção do aparelho
Mordida perfil inicial
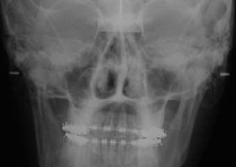
Rx inicial
Rx final
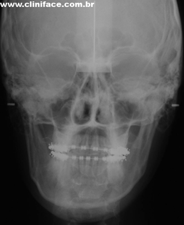
Telerradiografia frontal inicial
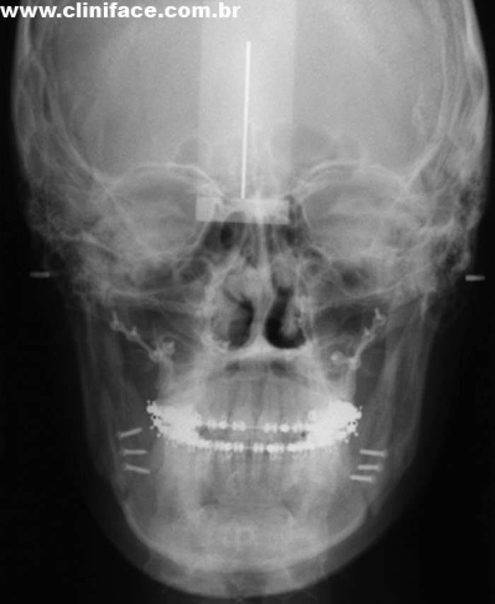
Telerradiografia frontal após cirurgia
Praça da Bíblia, 3336 | Edf. Cemed - Sala 601 | Umuarama - Pr | 44 3622-6161