Agende um horário
Clique nas imagens para ampliar
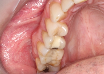
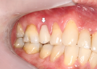
Elemento 15 fraturado
Foto extra oral frontal inicial
Extração - Implante imediato
Implante - Enxerto ósseo sintético
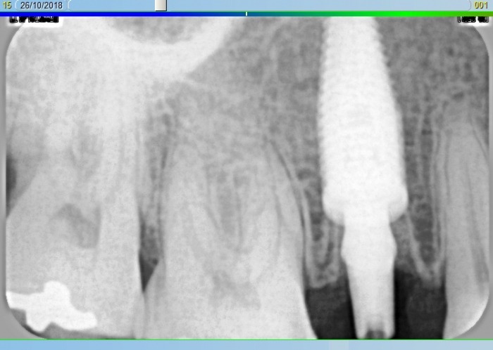
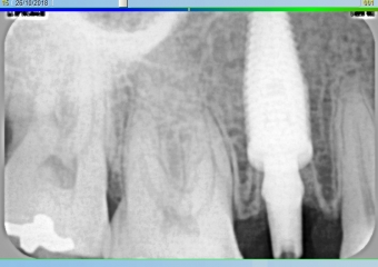
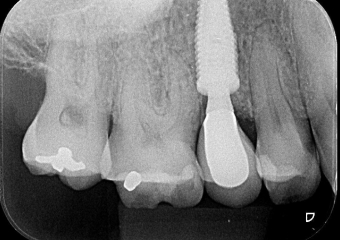
Rx Imediato
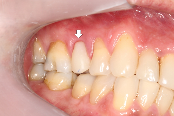
Provisório imediato
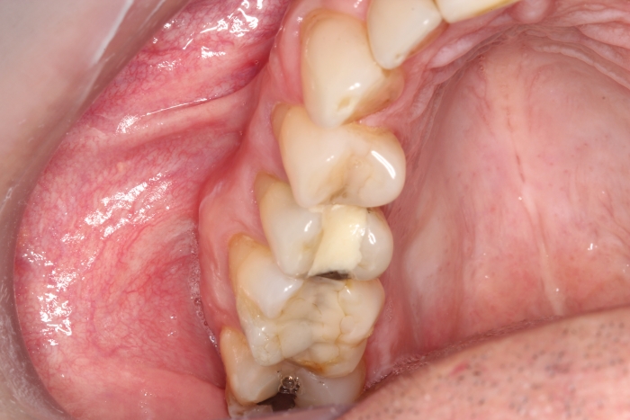
Dente definitivo
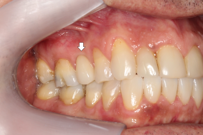
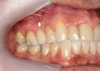
Foto extra oral final
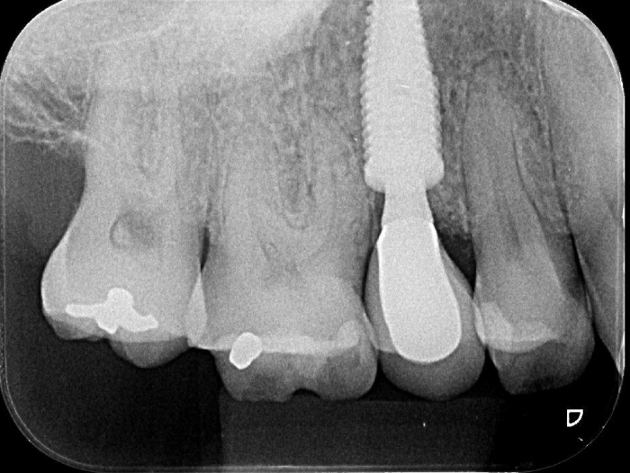
Rx final com dente definitivo
Praça da Bíblia, 3336 | Edf. Cemed - Sala 601 | Umuarama - Pr | 44 3622-6161