CASOS CLÍNICOS - Implantes Imediatos


Caso 04

Clique nas imagens para ampliar

Rx Panoramico Inicial 24-07-15 - Clínica Cliniface

Rx Panoramico Inicial 24-07-15

Rx Periapical Pré-cirurgico 03-10-16 - Clínica Cliniface

Rx Periapical Pré-cirurgico 03-10-16

Foto frontal extra oral pré-cirurgica 03-10-16 - Clínica Cliniface

Foto frontal extra oral pré-cirurgica 03-10-16

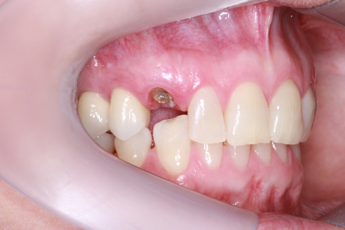
Foto lateral pré-cirurgica 03-10-16 - Clínica Cliniface

Foto lateral pré-cirurgica 03-10-16

Foto implante instalado 03-10-16 - Clínica Cliniface

Foto implante instalado 03-10-16

Foto implante   enxerto Bio Oss 03-10-16 - Clínica Cliniface

Foto implante enxerto Bio Oss 03-10-16

Foto provisorio imediato 03-10-16 - Clínica Cliniface

Foto provisorio imediato 03-10-16

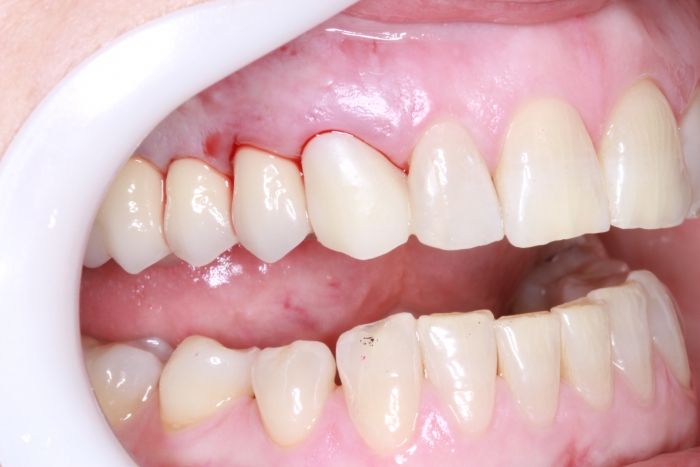
Foto provisorio controle de 7 dias 10-10-16 - Clínica Cliniface

Foto provisorio controle de 7 dias 10-10-16

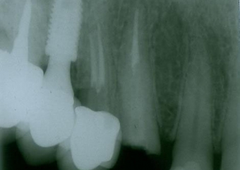
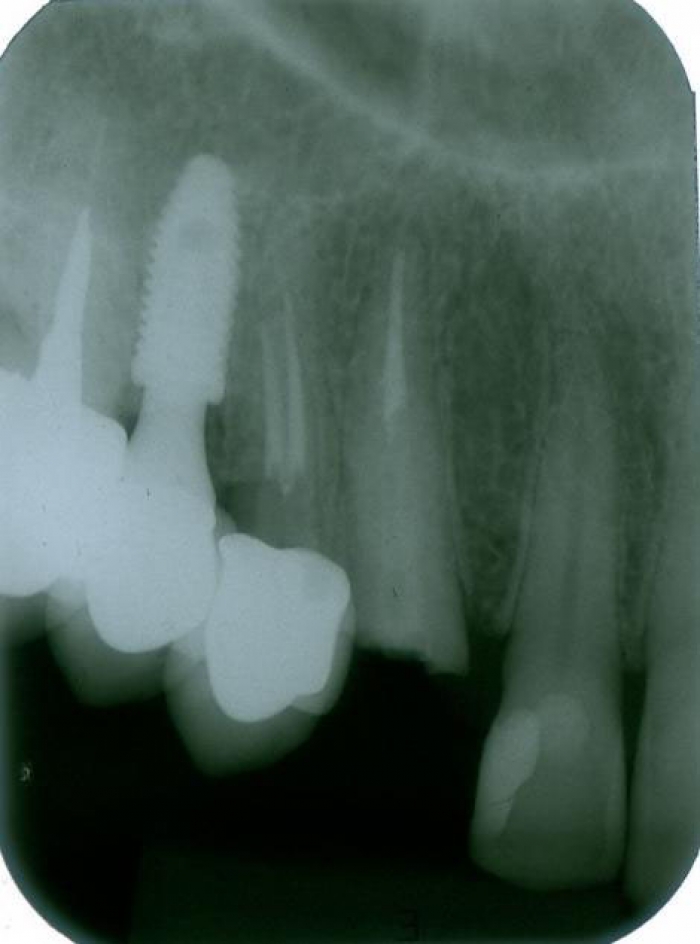
Rx Periapical controle 1 mes 21-11-16 - Clínica Cliniface

Rx Periapical controle 1 mes 21-11-16

Foto frontal extra oral com definitivo 22-08-17 - Clínica Cliniface

Foto frontal extra oral com definitivo 22-08-17

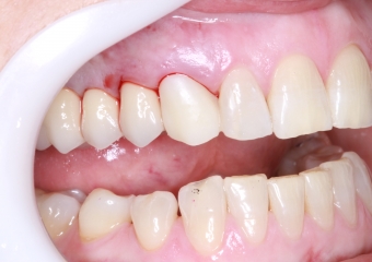
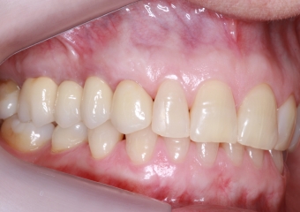
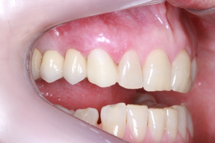
Foto lateral com protese definitiva 22-08-17 - Clínica Cliniface

Foto lateral com protese definitiva 22-08-17

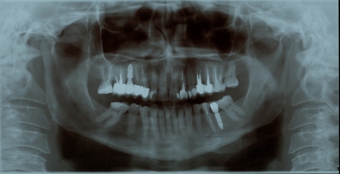
Rx Panoramico controle 31-08-17  - Clínica Cliniface

Rx Panoramico controle 31-08-17



Praça da Bíblia, 3336 | Edf. Cemed - Sala 601 | Umuarama - Pr | 44 3622-6161