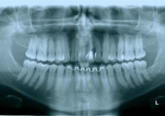
Rx Panoramico Inicial 15-06-15
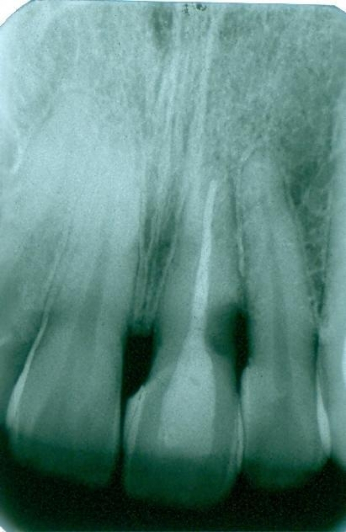
Rx Periapical Inicial 15-06-15
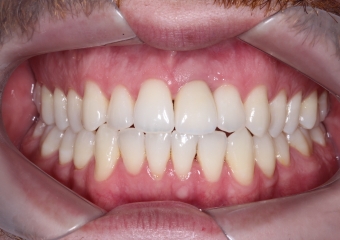
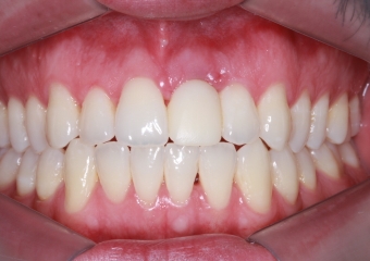
Foto Frontal Inicial 18-05-15
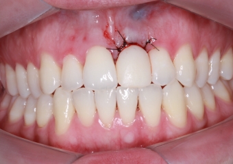
Foto Implante18-05-15
Foto com provisorio imediato 18-05-15
Foto Frontal controle 9 dias 27-05-15
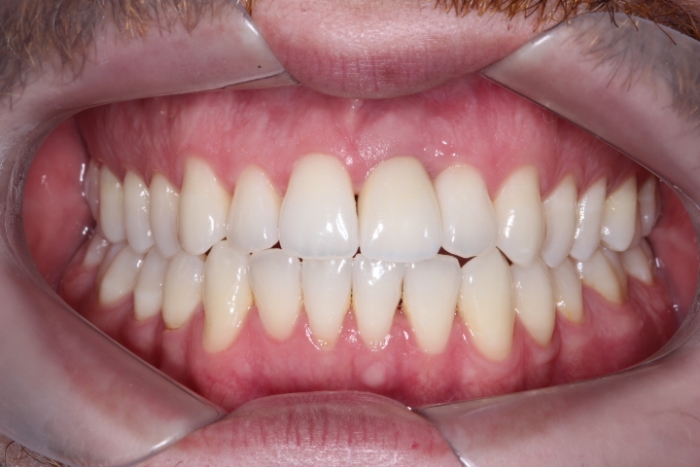
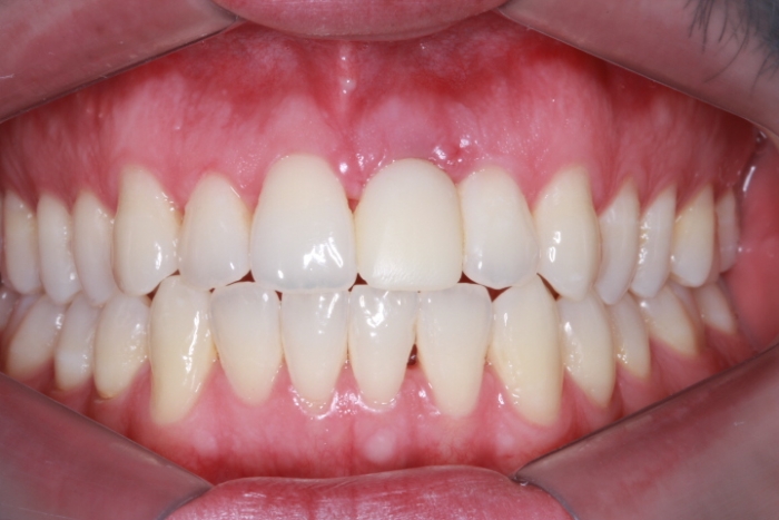
Foto Frontal com Protese definitiva 5 meses 21-11-15
Foto extra oral com protese definitiva 5 meses 21-11-15
Foto extra oral controle de 1 ano e 7 meses 06-01-17