Agende um horário
Clique nas imagens para ampliar
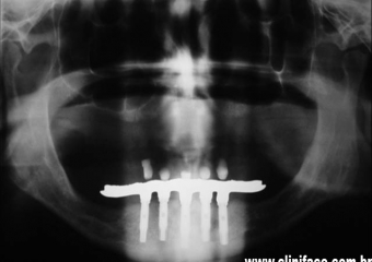
Raio X com implantes instalados
Raio X com prótese fixa instalada
Implantes com cicatrizadores
Prótese fixa em resina
Sorriso final
Praça da Bíblia, 3336 | Edf. Cemed - Sala 601 | Umuarama - Pr | 44 3622-6161