Agende um horário
Clique nas imagens para ampliar
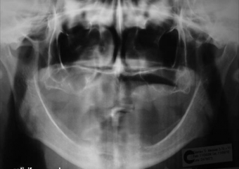
Raio X inicial
Implantes instalados
Raio X dos implantes e prótese fixa instalados
Prótese fixa em resina com carga imediata
Sorrisos finais, do caso terminado em Maio de 2007
Praça da Bíblia, 3336 | Edf. Cemed - Sala 601 | Umuarama - Pr | 44 3622-6161