Agende um horário
Clique nas imagens para ampliar
Imagens iniciais
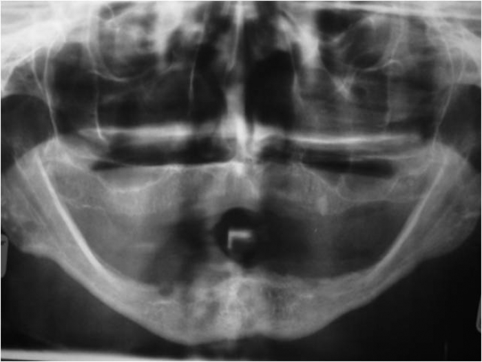
Raio X inicial
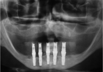
Raio X com os implantes instalados
Prótese fixa inferior em resina
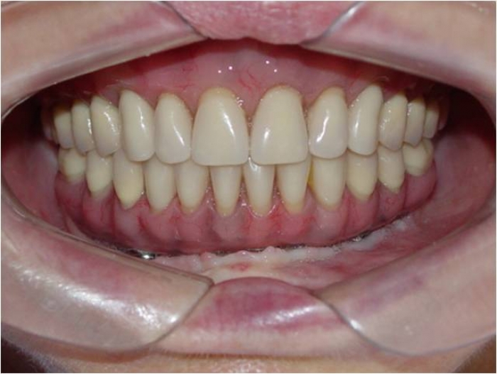
Sorriso final do caso terminado em abril de 2009
Praça da Bíblia, 3336 | Edf. Cemed - Sala 601 | Umuarama - Pr | 44 3622-6161