Agende um horário
Clique nas imagens para ampliar
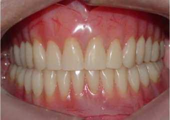
Imagem inicial
Raio x inicial
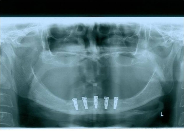
Raio x dos implantes
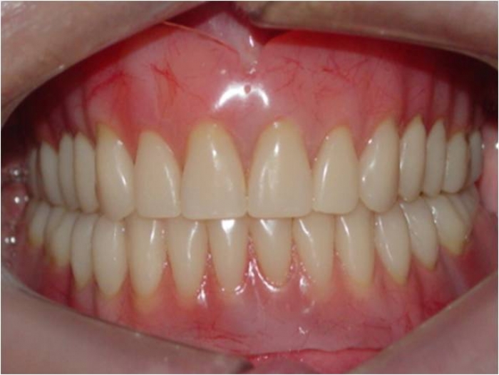
Prótese fixa inferior em resina instalada
Raio x final
Perfil inicial
Perfil final
Sorriso inicial
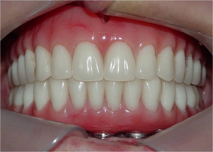
Sorriso final, do caso terminado em janeiro de 2014
Praça da Bíblia, 3336 | Edf. Cemed - Sala 601 | Umuarama - Pr | 44 3622-6161