Agende um horário
Clique nas imagens para ampliar
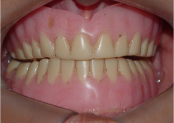
Imagem inicial
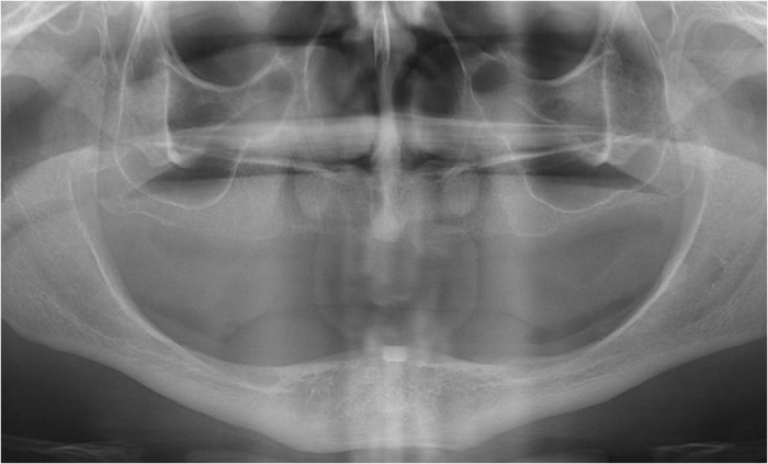
Raio x inicial
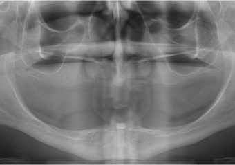
Raio x final
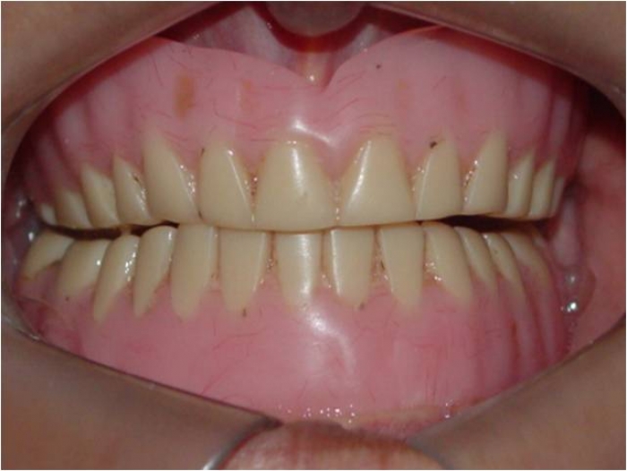
Prótese fixa inferior em resina
Sorriso final, do caso terminado em Janeiro de 2014
Praça da Bíblia, 3336 | Edf. Cemed - Sala 601 | Umuarama - Pr | 44 3622-6161