Agende um horário
Clique nas imagens para ampliar
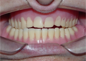
Imagem inicial
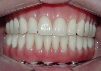
Imagem final
Raio x inicial
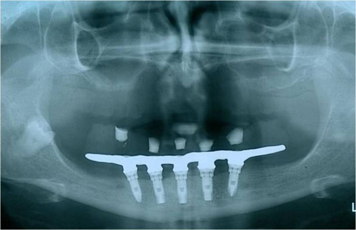
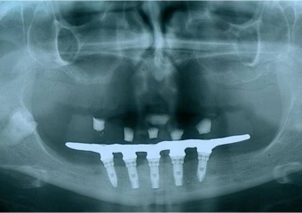
Raio x final
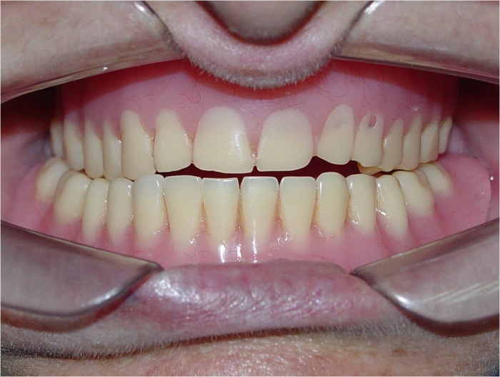
Sorriso inicial
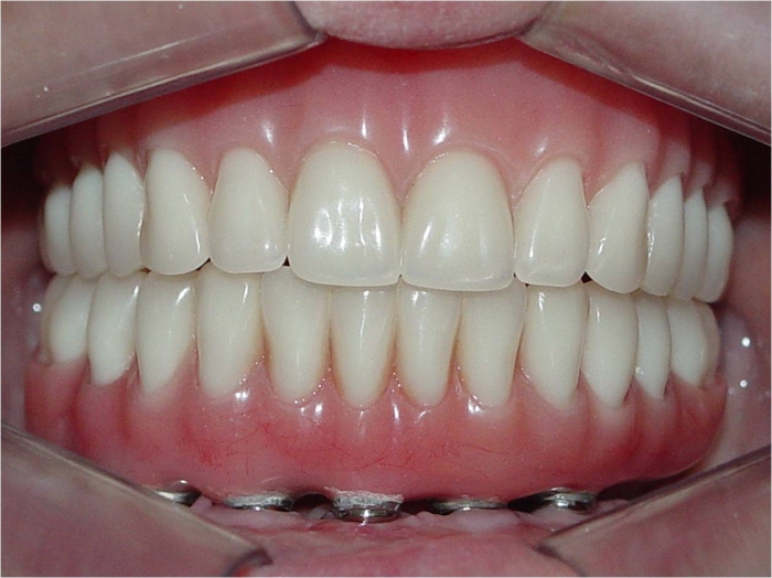
Sorriso final, do caso terminado em setembro de 2013
Praça da Bíblia, 3336 | Edf. Cemed - Sala 601 | Umuarama - Pr | 44 3622-6161