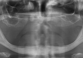
Raio X inicial
Raio X dos implantes Cone Morse
Imagem inicial
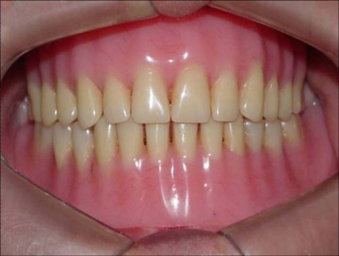
Próteses totais iniciais
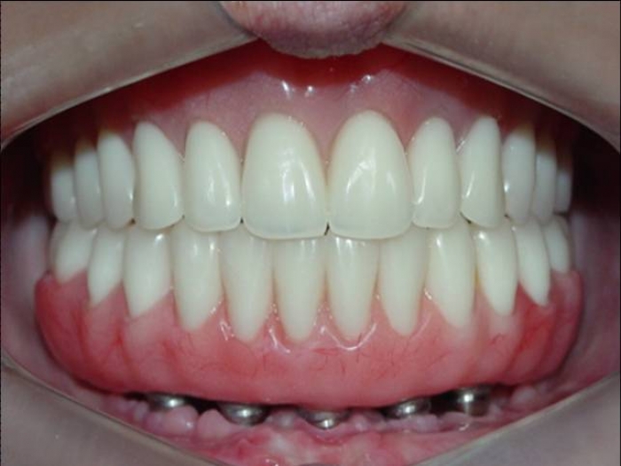
Prótese fixa sobre implantes inferior e nova prótese superior
Raio X final com prótese fixa em resina instalada, sobre implantes Cone Morse
Sorriso inicial
Sorriso final do caso terminado em abril de 2012