CASOS CLÍNICOS - Implantes Cone Morse - Reabilitação Total com Implantes e Prótese em Resina - Inferior


Caso 02 - Prótese Fixa em Resina Imediata

Clique nas imagens para ampliar

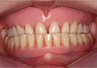
Imagem inicial - Clínica Cliniface

Imagem inicial

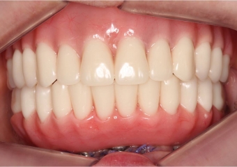
Imagem após prótese imediata inferior e nova prótese superior, provisórias instaladas - Clínica Cliniface

Imagem após prótese imediata inferior e nova prótese superior, provisórias instaladas

Raio x inicial - Clínica Cliniface

Raio x inicial

Raio x após prótese imediata fixa inferior e nova prótese superior, provisórias instaladas - Clínica Cliniface

Raio x após prótese imediata fixa inferior e nova prótese superior, provisórias instaladas

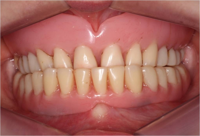
Imagem inicial - Clínica Cliniface

Imagem inicial

Imagem após prótese imediata fixa inferior e nova prótese superior, provisórias instaladas - Clínica Cliniface

Imagem após prótese imediata fixa inferior e nova prótese superior, provisórias instaladas

Sorriso inicial - Clínica Cliniface

Sorriso inicial

Sorriso após próteses provisórias instaladas - Clínica Cliniface

Sorriso após próteses provisórias instaladas



Praça da Bíblia, 3336 | Edf. Cemed - Sala 601 | Umuarama - Pr | 44 3622-6161