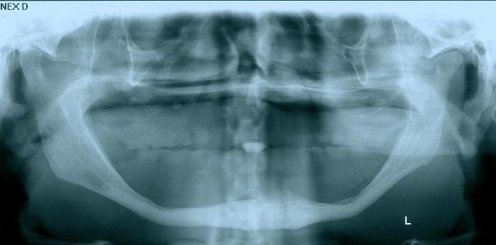
Raio - x Panorâmico inicial, em Julho de 2015
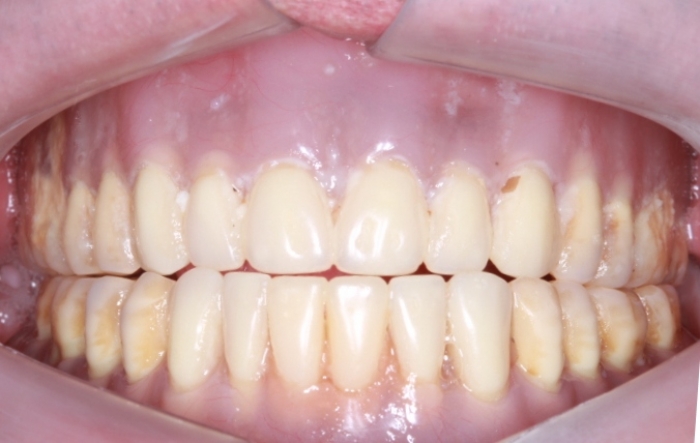
Imagem Inicial,em 2015
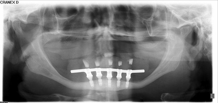
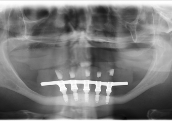
Raio - x Panorâmico Implantes inferiores instalados, em Outubro de 2015
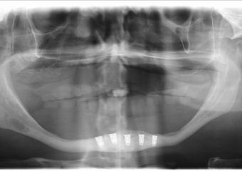
Raio-x Implantes com Prótese Fixa Definitiva em Resina
Prótese fixa sobre os implantes inferiores e nova prótese total superior, em Janeiro de 2016
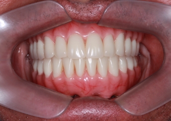
Sorriso inicial, em 2015
Sorriso Final, em 2016