Imagem inicial frontal
Imagem inicial após a cirurgia
Perfil inicial
Perfil após a cirurgia
Mordida inicial
Mordida após a cirurgia
Perfil final após a remoção do aparelho
imagem final após a remoção do aparelho
Mordida final após a remoção do aparelho
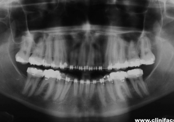
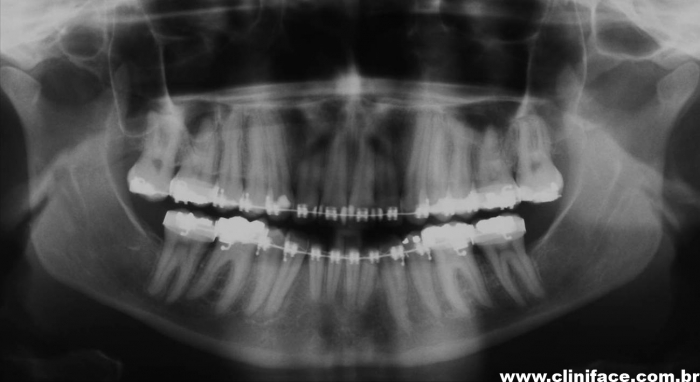
Raio x panorâmico inicial
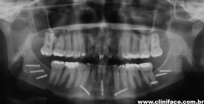
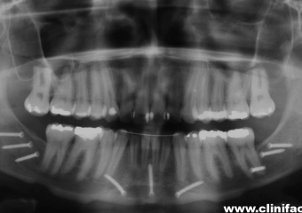
Raio x panorâmico final
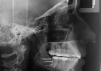
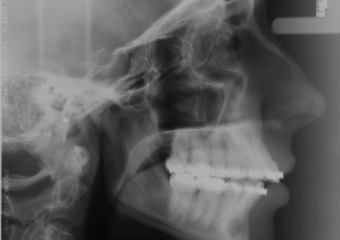
Teleradiografia inicial
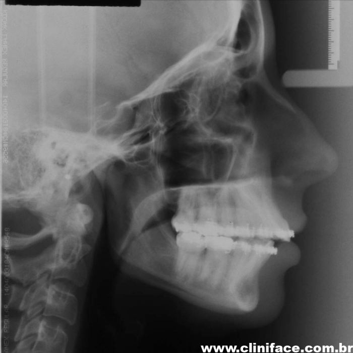
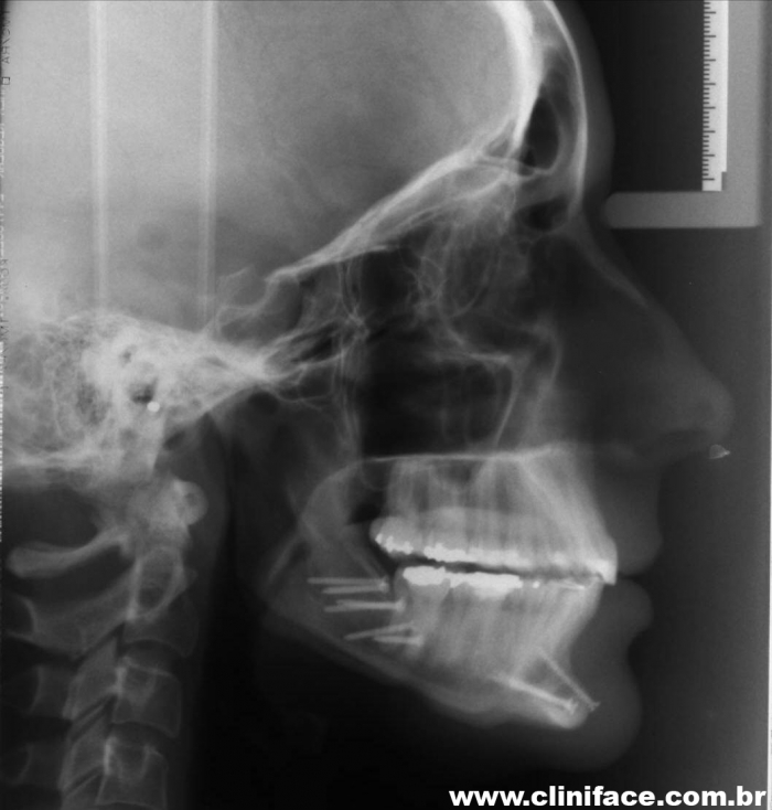
Teleradiografia final