Imagem inicial frontal
Imagem frontal após remoção do aparelho
Perfil inicial
Perfil após a remoção do aparelho
Mordida inicial
Mordida após a remoção do aparelho
Raio x panorâmico inicial
Raio x panorâmico final
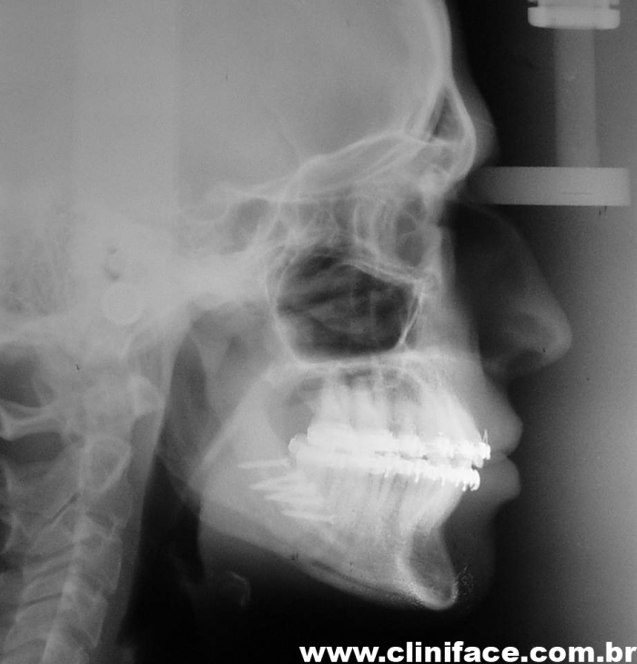
Telerradiografia inicial
Telerradiografia final