Sorriso inicial
Sorriso após a cirurgia
Perfil inicial
Perfil após a cirurgia
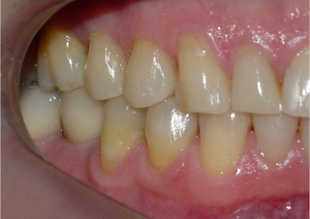
Mordida inicial
Mordida após a cirurgia
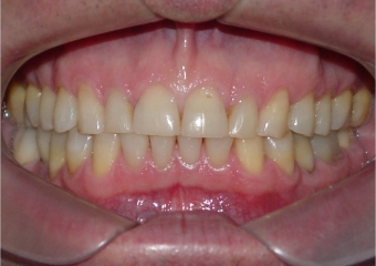
Mordida inicial
Mordida após a cirurgia
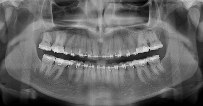
Raio X inicial
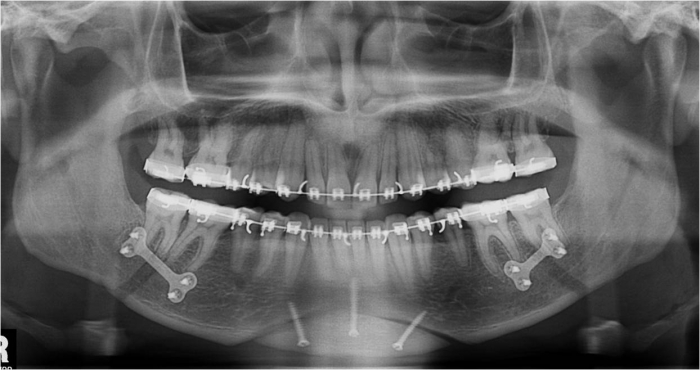
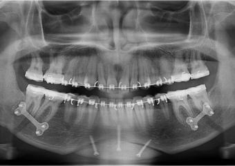
Raio X após cirurgia
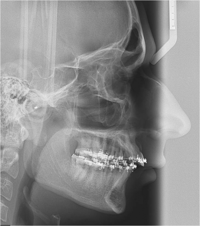
Telerradiografia inicial
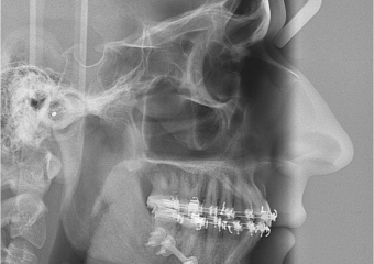
Telerradiografia após cirurgia
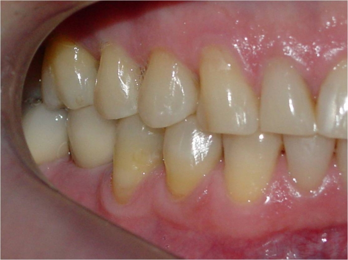
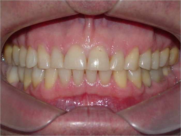
Mordida, após 2 anos da cirurgia
Mordida, após 2 anos da cirurgia