Sorriso inicial
Sorriso final
Perfil inicial
Perfil final
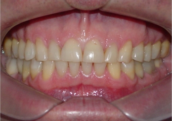
Mordida inicial
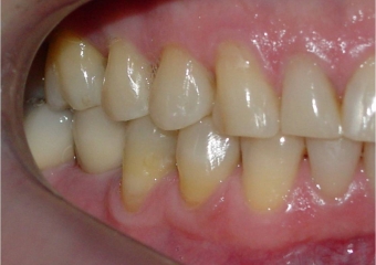
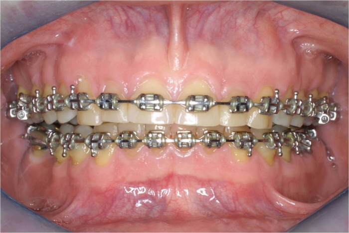
Mordida após a remoção do aparelho
Mordida inicial
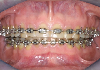
Mordida após a remoção do aparelho
Raio x inicial
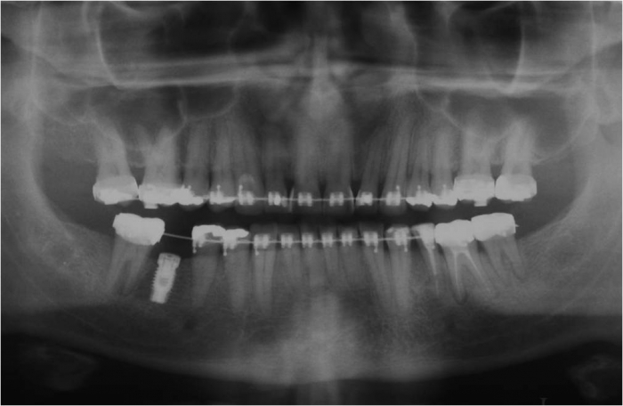
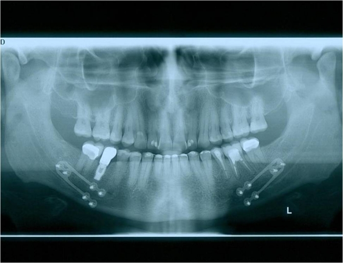
Raio x de controle, 3 anos após a cirurgia
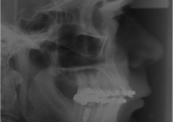
Telerradiografia inicial
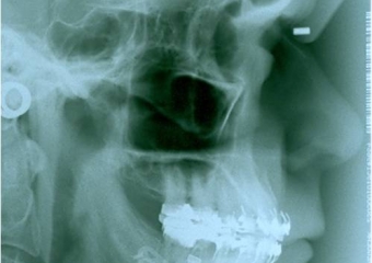
Telerradiografia após a cirurgia