Agende um horário
Clique nas imagens para ampliar
Sorriso inicial
Sorriso após cirurgia
Perfil inicial
Perfil após cirurgia
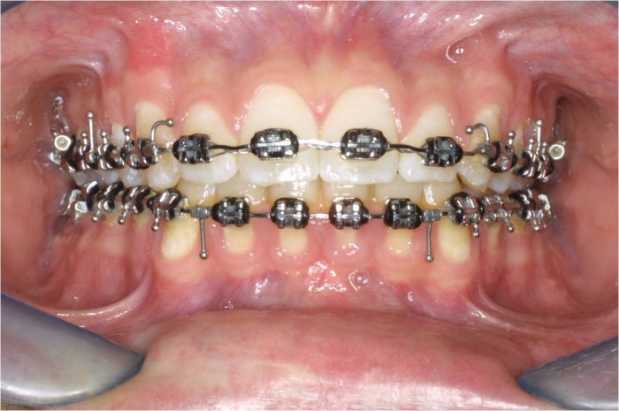
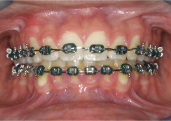
Mordida inicial
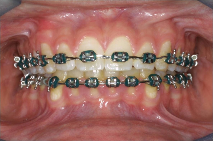
Mordida após cirurgia
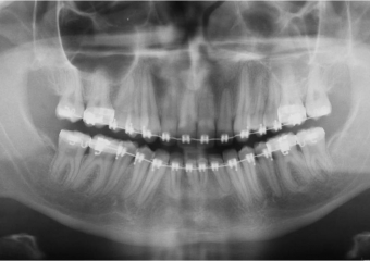
Raio x inicial
Raio x após cirurgia
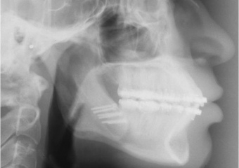
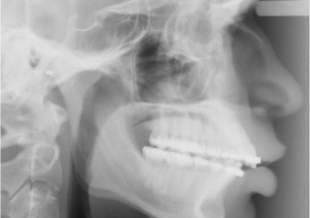
Telerradiografia inicial
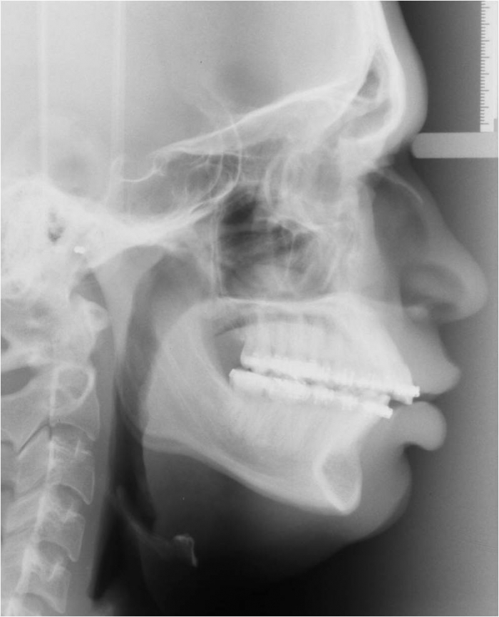
Telerradiografia após cirurgia
Praça da Bíblia, 3336 | Edf. Cemed - Sala 601 | Umuarama - Pr | 44 3622-6161