Agende um horário
Clique nas imagens para ampliar
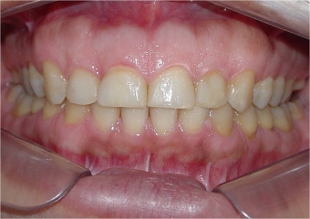
Sorriso inicial
Sorriso final
Perfil inicial
Perfil final
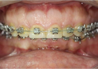
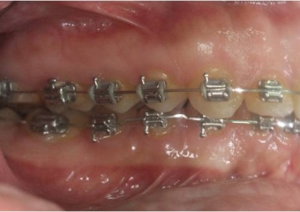
Mordida inicial
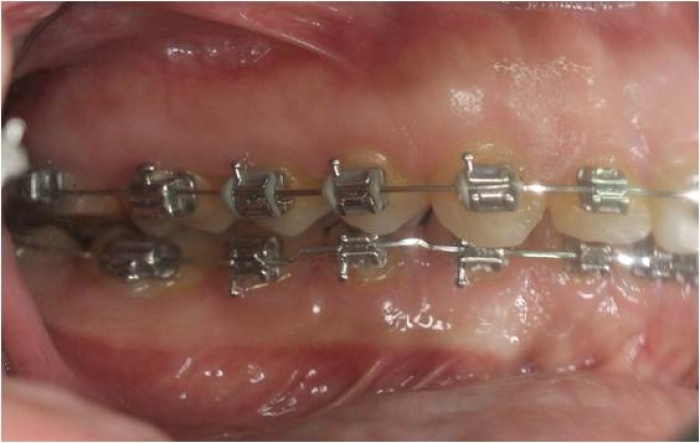
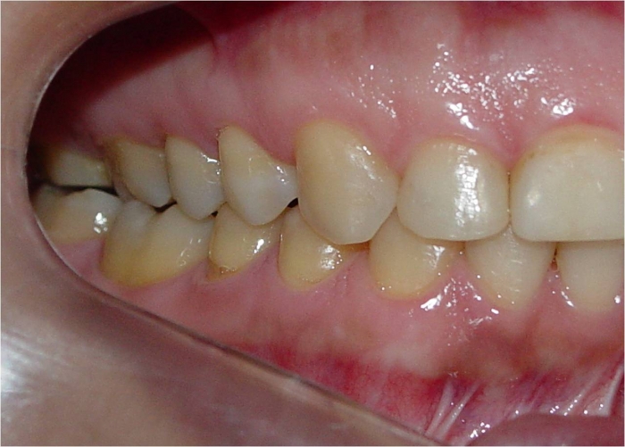
Mordida final
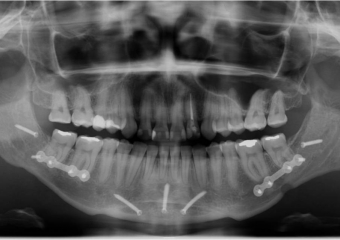
Raio x inicial
Raio x final
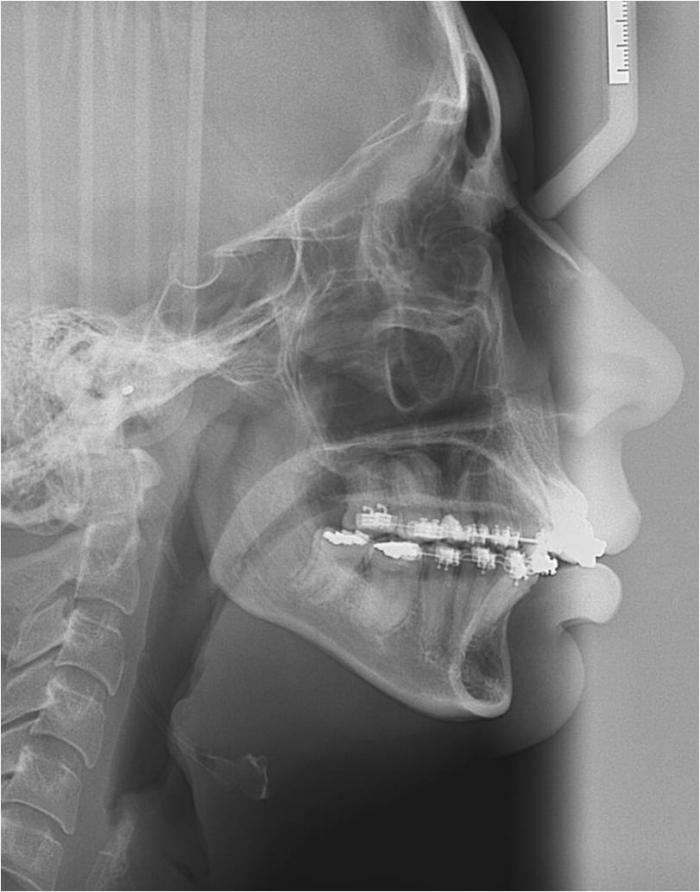
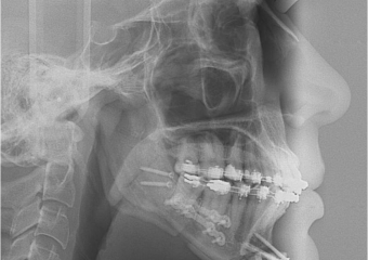
Telerradiografia inicial
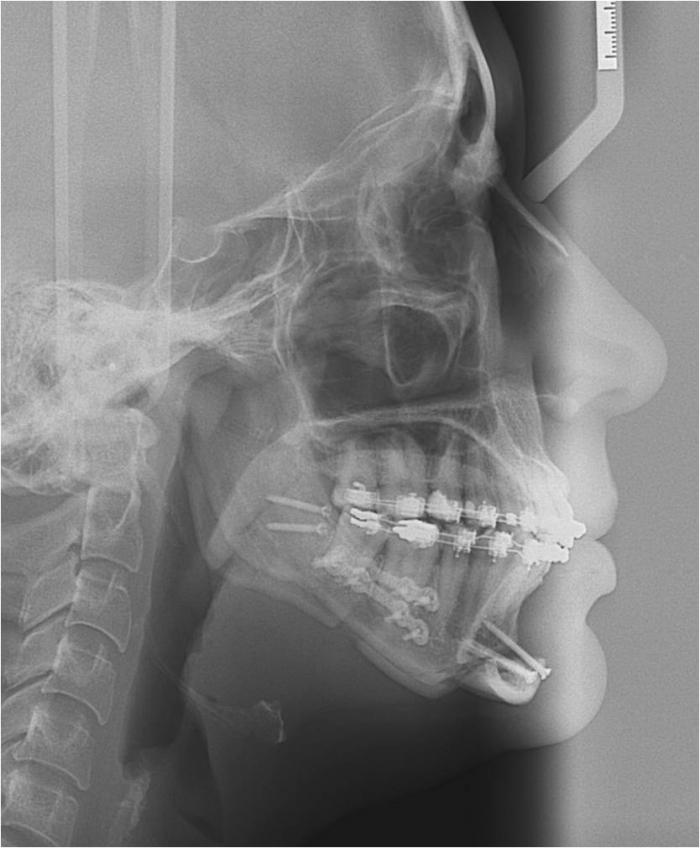
Telerradiografia final
Praça da Bíblia, 3336 | Edf. Cemed - Sala 601 | Umuarama - Pr | 44 3622-6161