Agende um horário
Clique nas imagens para ampliar
Sorriso inicial
Sorriso final
Perfil inicial
Perfil final
Mordida inicial
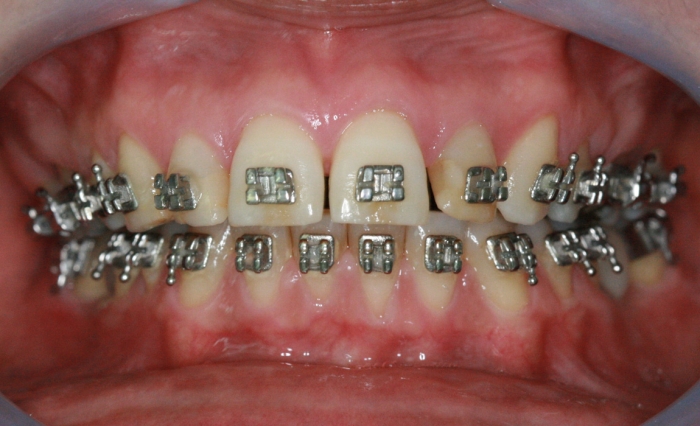
Mordida final
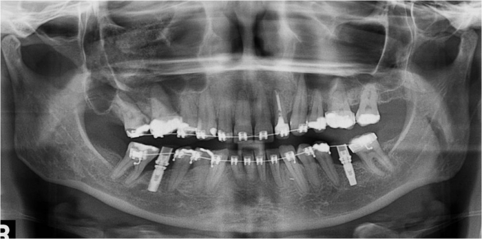
Raio x inicial
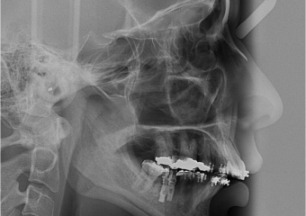
Telerradiografia inicial
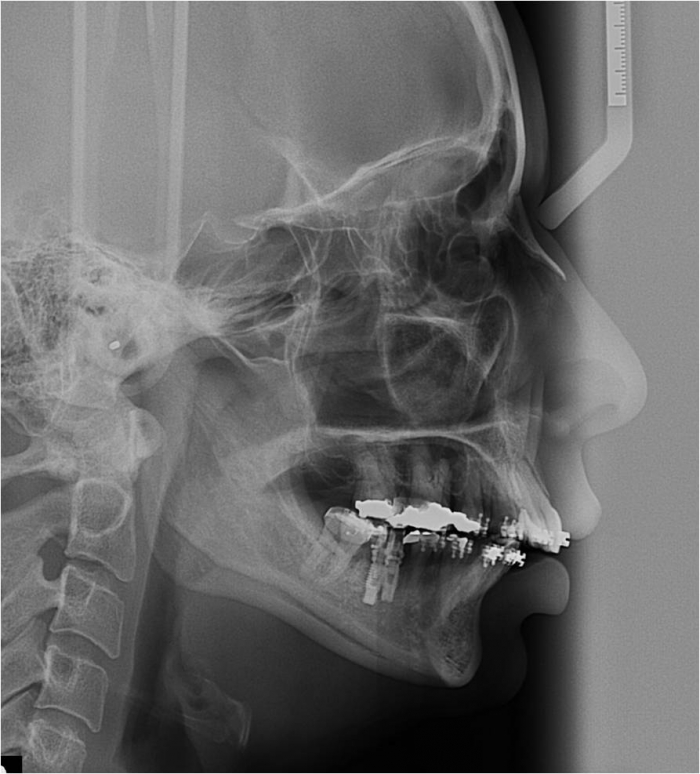
Telerradiografia final
Praça da Bíblia, 3336 | Edf. Cemed - Sala 601 | Umuarama - Pr | 44 3622-6161