CASOS CLÍNICOS - Cirurgia Ortognática - Mandíbula


Caso 09 - Cirurgia Ortognática de Mandíbula

Clique nas imagens para ampliar

Sorriso inicial - Clínica Cliniface

Sorriso inicial

Sorriso após cirurgia realizada em 2015 - Clínica Cliniface

Sorriso após cirurgia realizada em 2015

Perfil inicial  - Clínica Cliniface

Perfil inicial

Perfil após cirurgia realizada em 2015 - Clínica Cliniface

Perfil após cirurgia realizada em 2015

Mordida inicial - Clínica Cliniface

Mordida inicial

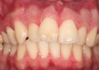
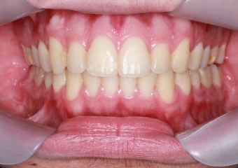
Mordida após cirurgia realizada em 2015 - Clínica Cliniface

Mordida após cirurgia realizada em 2015

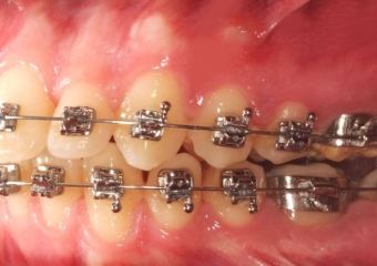
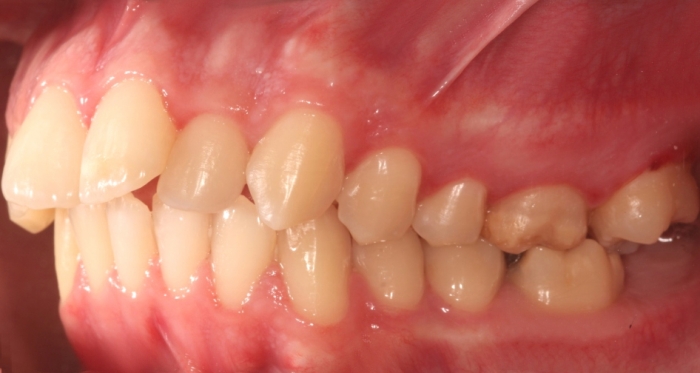
Mordida inicial - Clínica Cliniface

Mordida inicial

Mordida após cirurgia realizada em 2015 - Clínica Cliniface

Mordida após cirurgia realizada em 2015

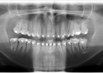
Rx Panorâmico inicial  - Clínica Cliniface

Rx Panorâmico inicial

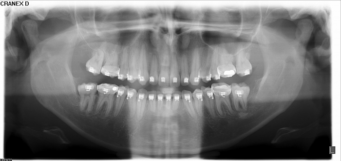
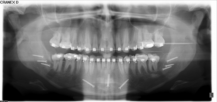
Rx Panorâmico após cirurgia realizada em 2015 - Clínica Cliniface

Rx Panorâmico após cirurgia realizada em 2015

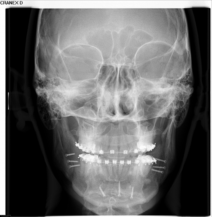
Telerradiografia frontal inicial - Clínica Cliniface

Telerradiografia frontal inicial

Telerradiografia frontal após cirurgia realizada em 2015 - Clínica Cliniface

Telerradiografia frontal após cirurgia realizada em 2015

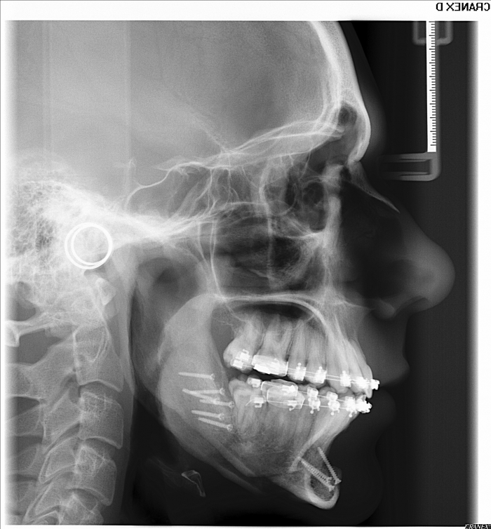
Telerradiografia perfil inicial - Clínica Cliniface

Telerradiografia perfil inicial

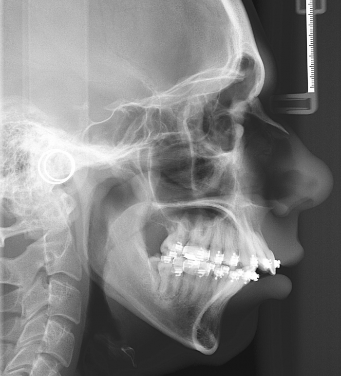
Telerradiografia perfil após cirurgia realizada em 2015 - Clínica Cliniface

Telerradiografia perfil após cirurgia realizada em 2015

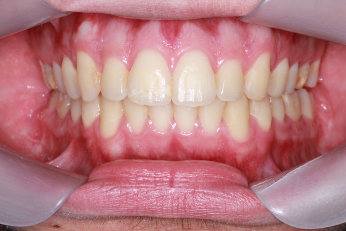
Sorriso após a cirurgia (Controle de 1 ano e 5 meses) - Clínica Cliniface

Sorriso após a cirurgia (Controle de 1 ano e 5 meses)

Mordida após cirurgia (Controle de 1 anos e 5 meses) - Clínica Cliniface

Mordida após cirurgia (Controle de 1 anos e 5 meses)



Praça da Bíblia, 3336 | Edf. Cemed - Sala 601 | Umuarama - Pr | 44 3622-6161