Imagem perfil inicial
Imagem perfil após a cirurgia 2019
Sorriso Inicial
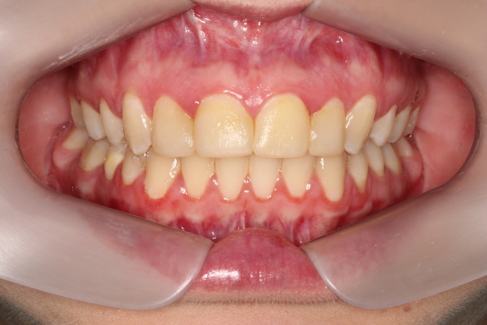
Sorriso após a cirurgia 2019
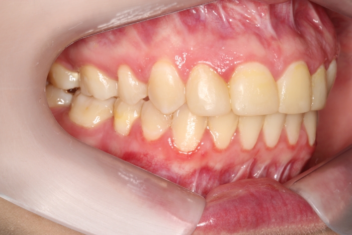
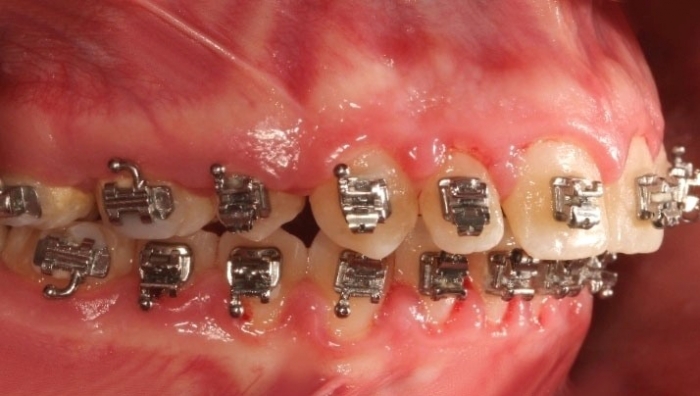
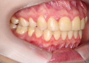
Mordida inicial
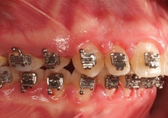
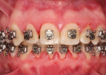
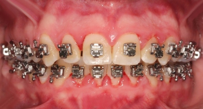
Oclusão após a cirurgia 2019
Mordida inicial
Oclusão após a cirurgia 2019
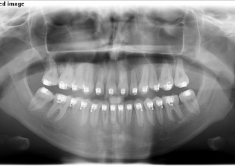
Rx Panorâmico inicial
Rx Panorâmico após a cirurgia 2018
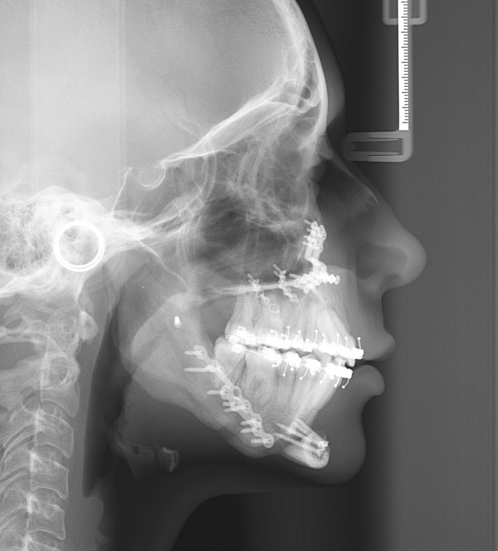
Telerradiografia inicial
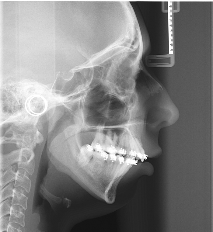
Telerradiografia após a cirurgia 2018