Agende um horário
Clique nas imagens para ampliar
Perfil inicial
Perfil após a cirurgia
Sorriso Inicial
Sorriso após a cirurgia
Foto após a cirurgia
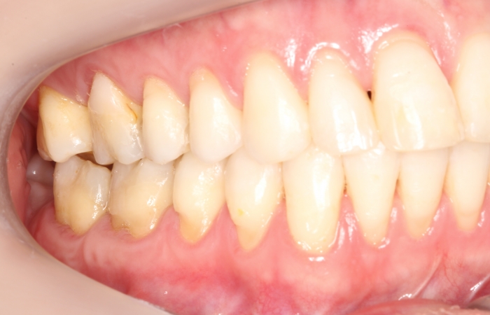
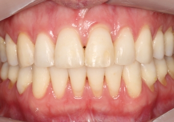
Mordida inicial
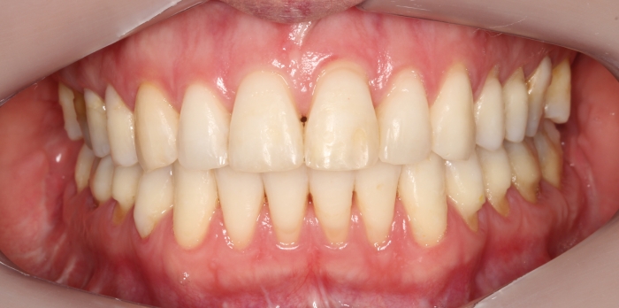
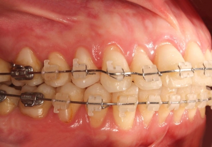
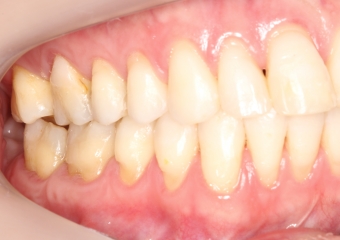
Oclusão após a cirurgia
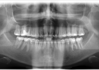
Rx Panorâmico Inicial
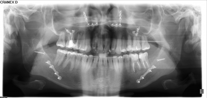
Rx panorâmico após a cirurgia
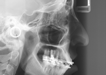
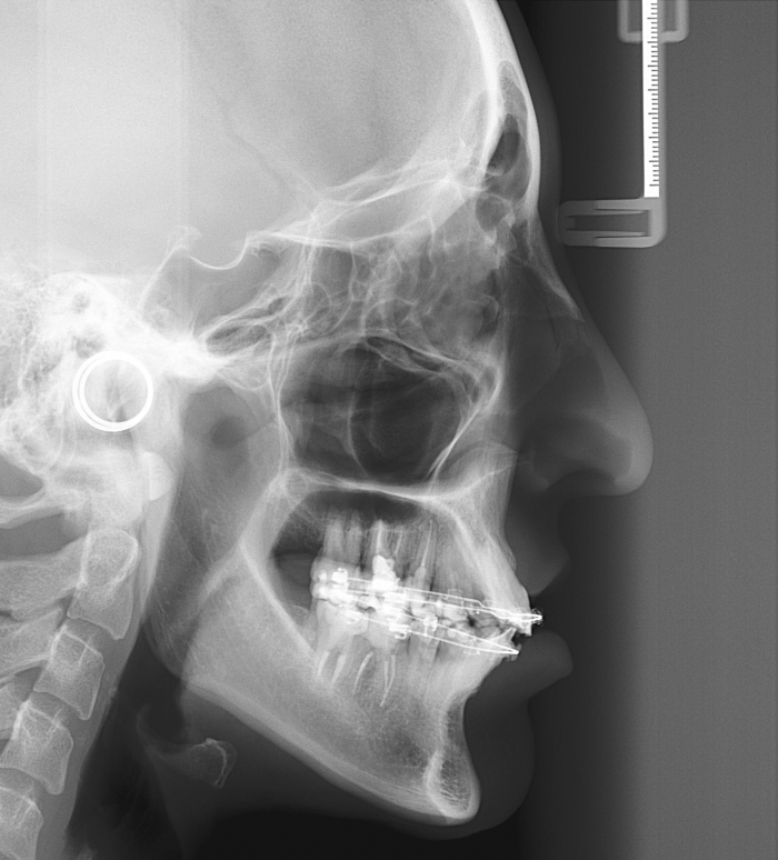
Telerradiografia inicial
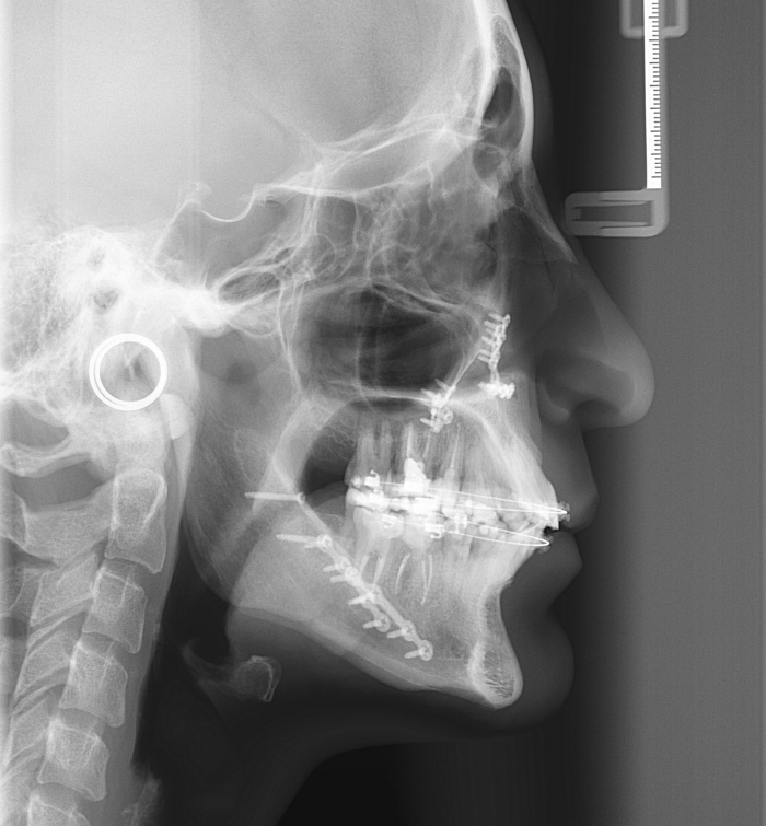
Telerradiografia após a cirurgia
Praça da Bíblia, 3336 | Edf. Cemed - Sala 601 | Umuarama - Pr | 44 3622-6161