Agende um horário
Clique nas imagens para ampliar
Imagem perfil inicial
Imagem perfil após a cirurgia
Imagem frontal inicial
Imagem frontal após a cirurgia
Mordida inicial
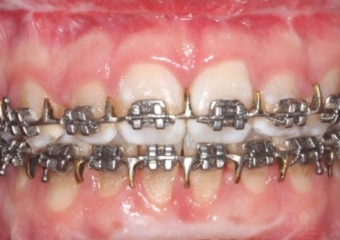
Mordida após a cirurgia
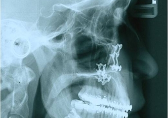
Raio x inicial
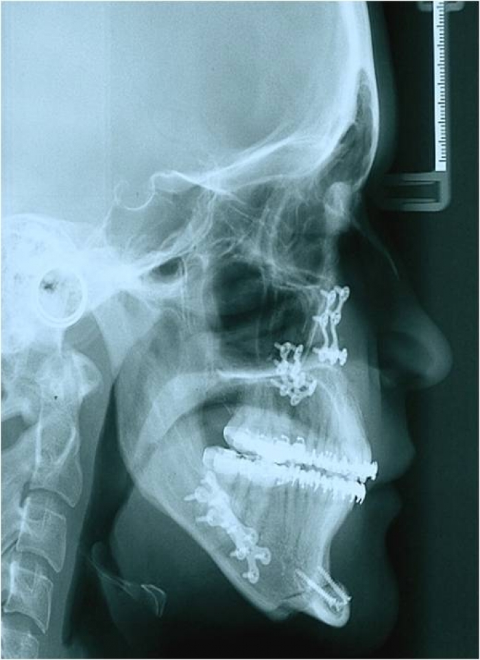
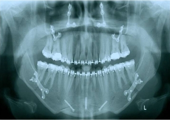
Raio x após a cirurgia
Telerradiografia inicial
Telerradiografia após a cirurgia
Praça da Bíblia, 3336 | Edf. Cemed - Sala 601 | Umuarama - Pr | 44 3622-6161