Agende um horário
Clique nas imagens para ampliar
Sorriso inicial
Sorriso após a cirurgia
Perfil inicial
Perfil após a cirurgia
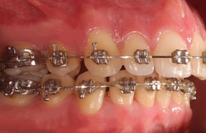
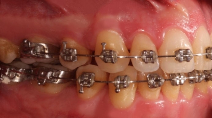
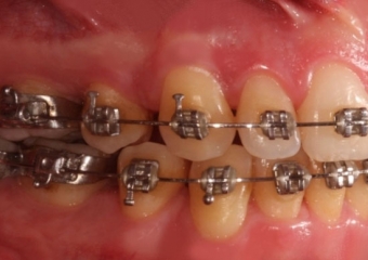
Mordida inicial
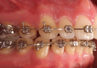
Mordida após a cirurgia
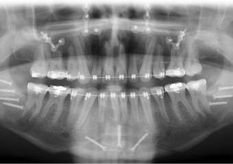
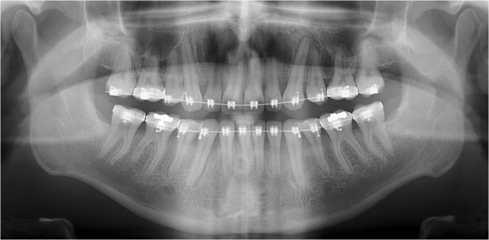
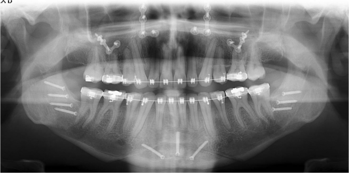
Raio x inicial
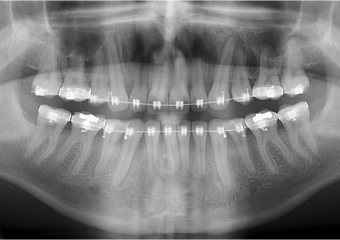
Raio x após a cirurgia
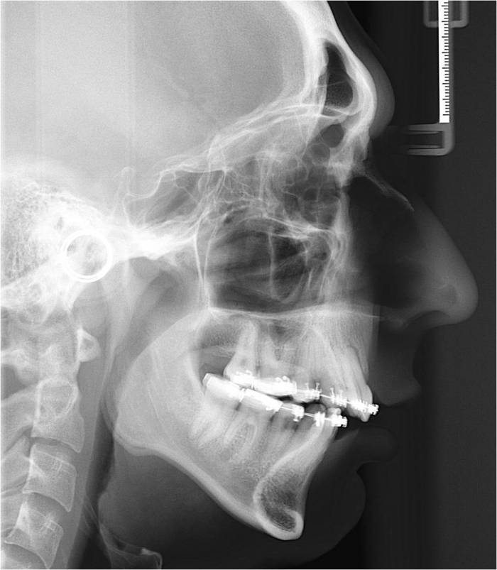
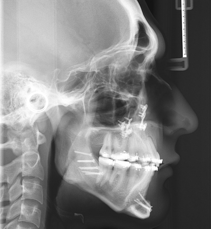
Telerradiografia inicial
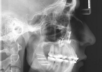
Telerradiografia após a cirurgia
Praça da Bíblia, 3336 | Edf. Cemed - Sala 601 | Umuarama - Pr | 44 3622-6161