Agende um horário
Clique nas imagens para ampliar
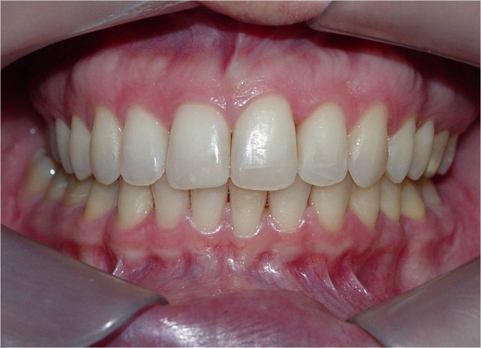
Sorriso incial
Sorriso final
Perfil inicial
Perfil final
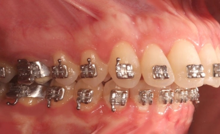
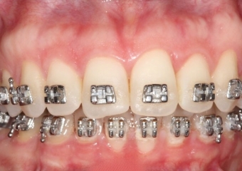
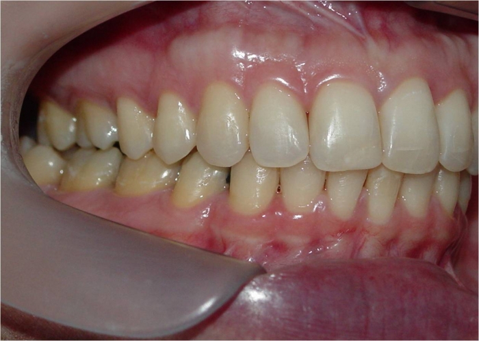
Mordida inicial
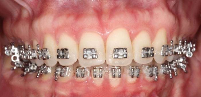
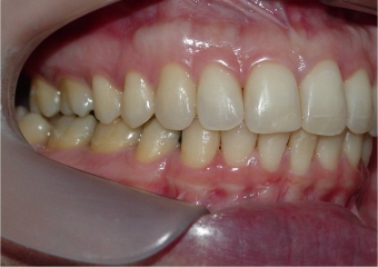
Mordida final
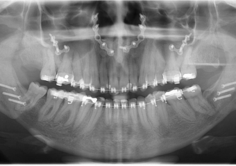
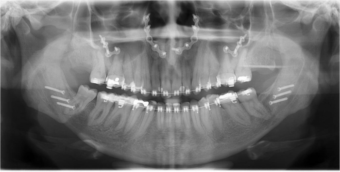
Raio x inicial
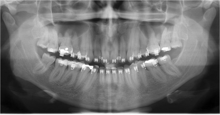
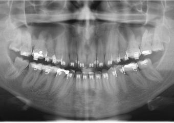
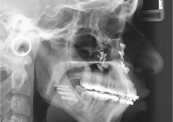
Raio x após a cirurgia
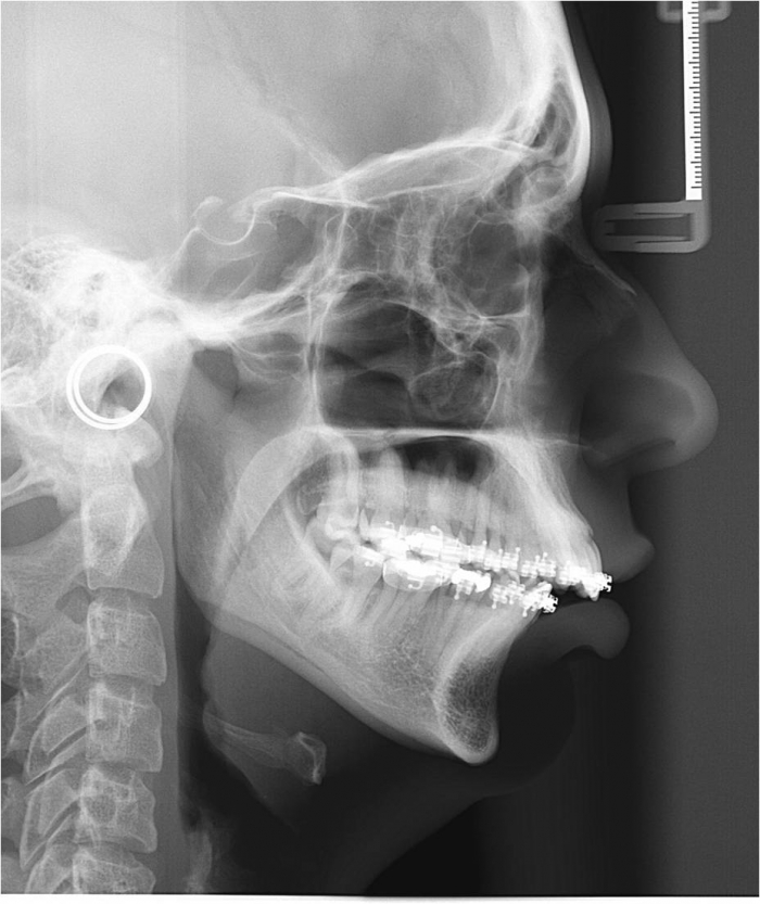
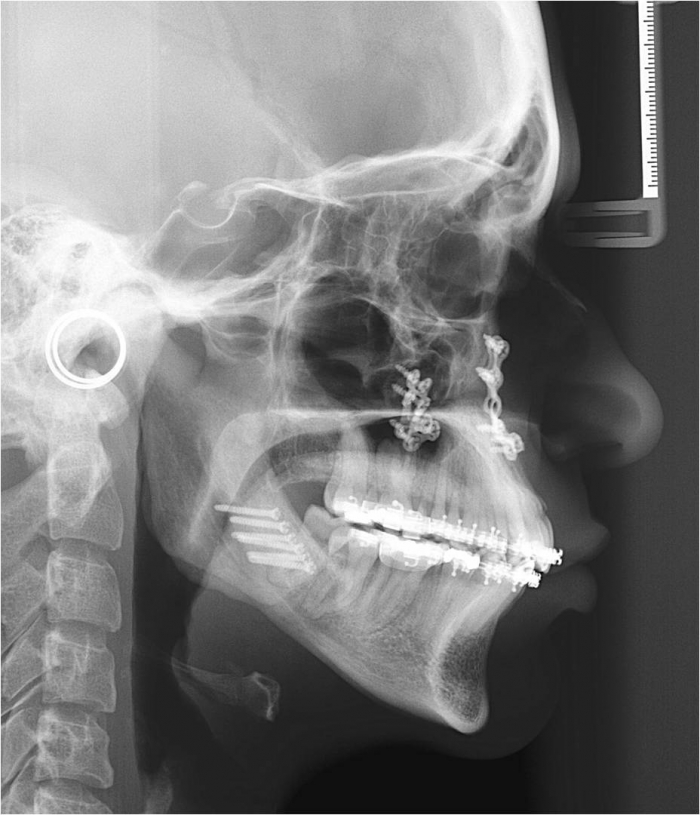
Telerradiografia inicial
Telerradiografia após a cirurgia
Praça da Bíblia, 3336 | Edf. Cemed - Sala 601 | Umuarama - Pr | 44 3622-6161