Agende um horário
Clique nas imagens para ampliar
Sorriso inicial
Sorriso após a cirurgia
Perfil inicial
Perfil após a cirurgia
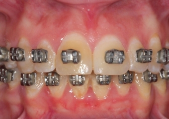
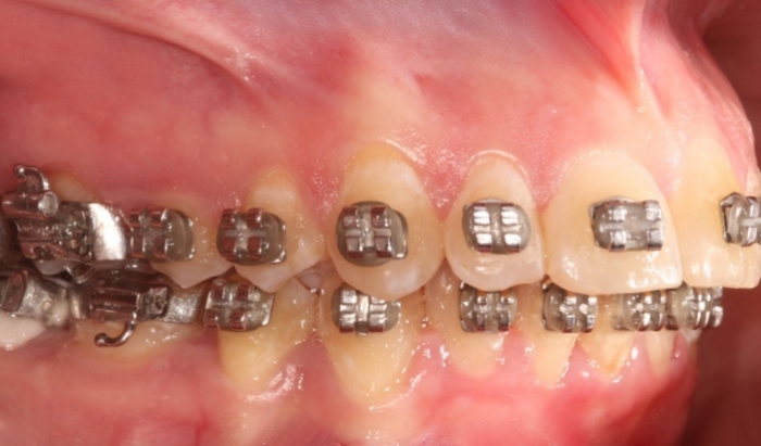
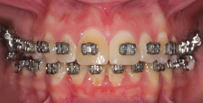
Mordida inicial
Mordida após a cirurgia
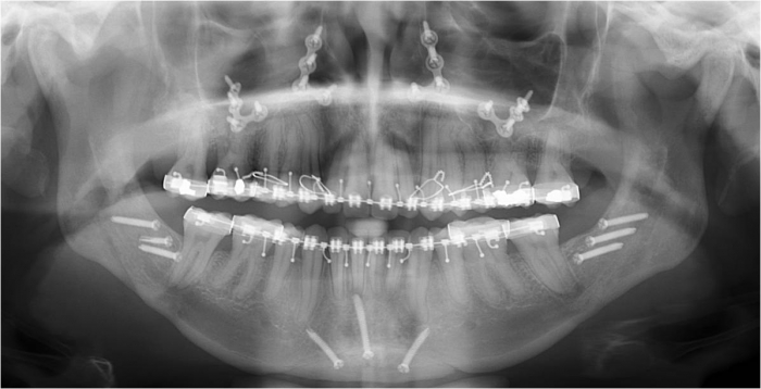
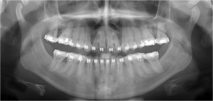
Raio x inicial
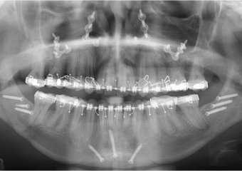
Raio x após a cirurgia
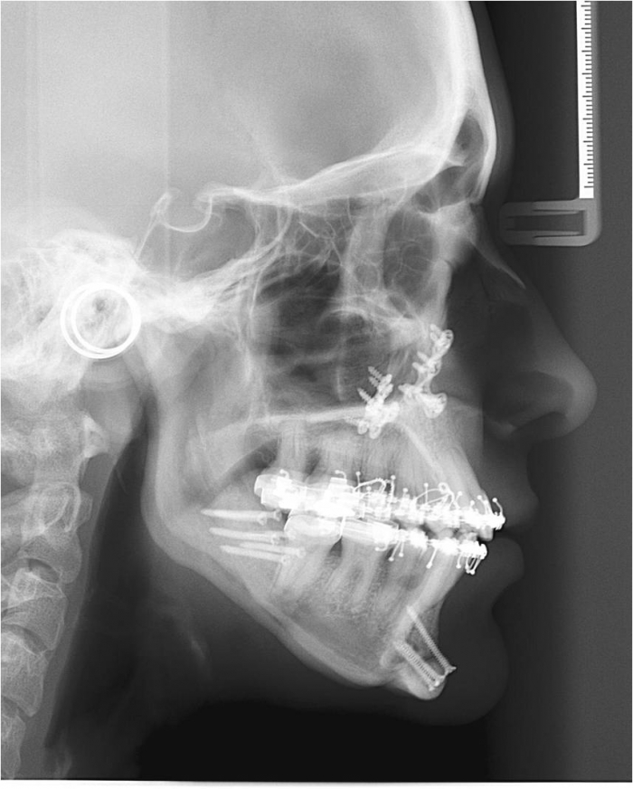
Telerradiografia inicial
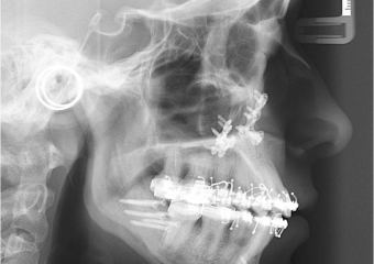
Telerradiografia após a cirurgia
Praça da Bíblia, 3336 | Edf. Cemed - Sala 601 | Umuarama - Pr | 44 3622-6161