CASOS CLÍNICOS - Cirurgia Ortognática - Maxila e Mandíbula


Caso 16 - Cirurgia Ortognática de Maxila e Mandíbula

Clique nas imagens para ampliar

Sorriso inicial - Clínica Cliniface

Sorriso inicial

Sorriso com 90 dias, após a cirurgia - Clínica Cliniface

Sorriso com 90 dias, após a cirurgia

Perfil inicial - Clínica Cliniface

Perfil inicial

Perfil com 90 dias, após a cirurgia - Clínica Cliniface

Perfil com 90 dias, após a cirurgia

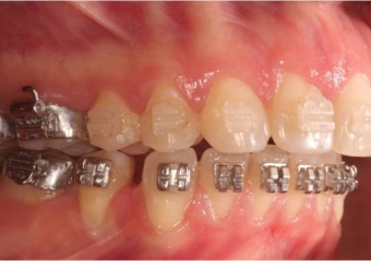
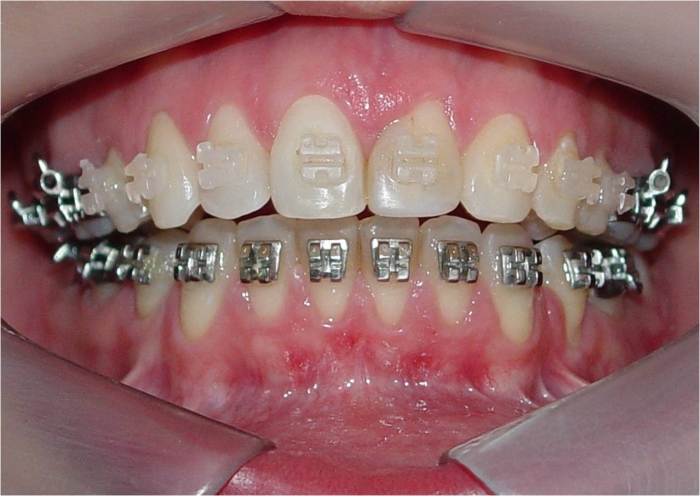
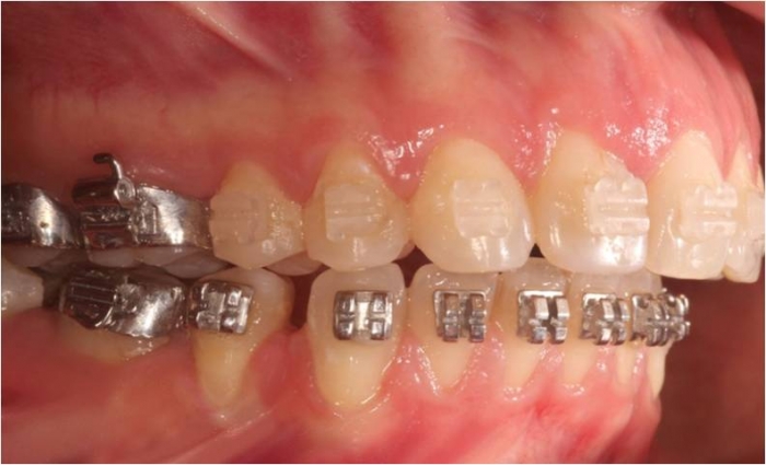
Mordida inicial - Clínica Cliniface

Mordida inicial

Mordida com 90 dias, após a cirurgia - Clínica Cliniface

Mordida com 90 dias, após a cirurgia

Mordida inicial - Clínica Cliniface

Mordida inicial

Mordida com 90 dias, após a cirurgia - Clínica Cliniface

Mordida com 90 dias, após a cirurgia

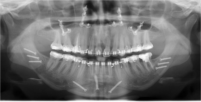
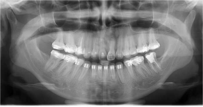
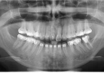
Raio x inicial - Clínica Cliniface

Raio x inicial

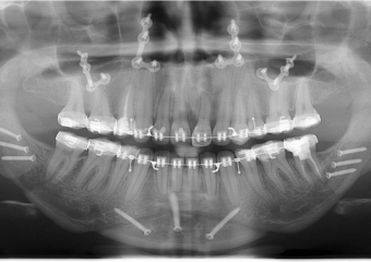
Raio x com 90 dias, após a cirurgia - Clínica Cliniface

Raio x com 90 dias, após a cirurgia

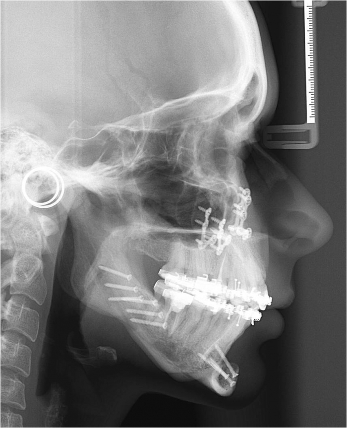
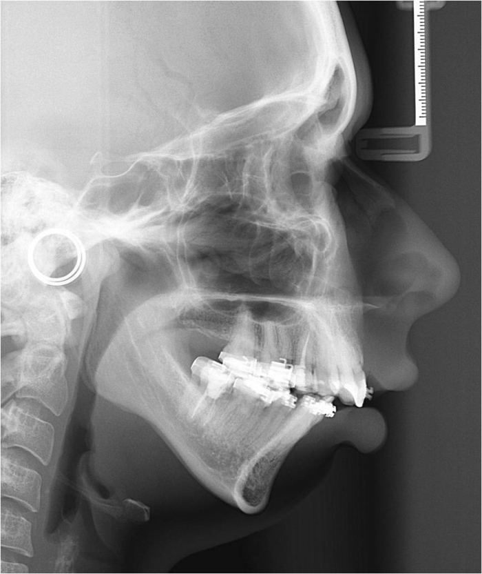
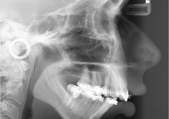
Telerradiografia inicial - Clínica Cliniface

Telerradiografia inicial

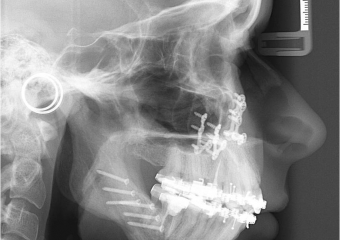
Telerradiografia com 90 dias, após a cirurgia - Clínica Cliniface

Telerradiografia com 90 dias, após a cirurgia

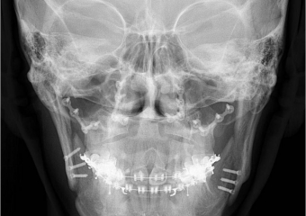
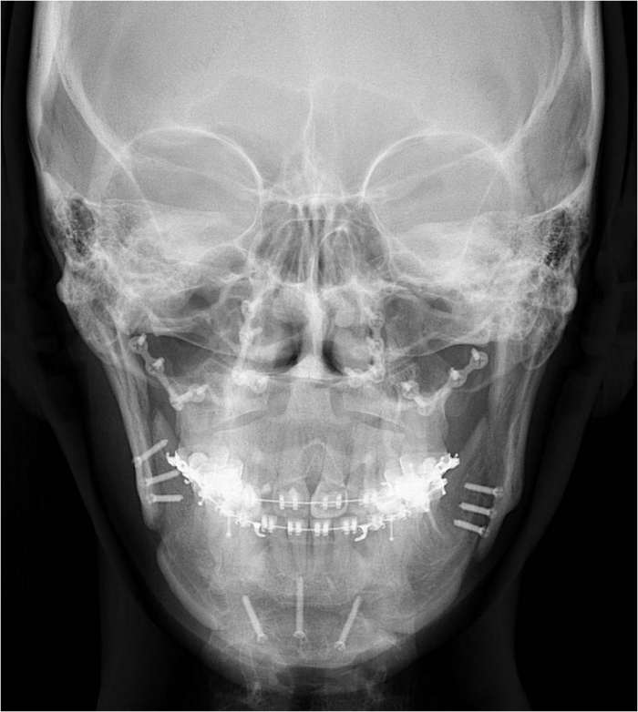
Telerradiografia frontal inicial - Clínica Cliniface

Telerradiografia frontal inicial

Telerradiografia frontal com 90 dias, após a cirurgia - Clínica Cliniface

Telerradiografia frontal com 90 dias, após a cirurgia

Mordida após cirurgia (Controle 14 meses)  - Clínica Cliniface

Mordida após cirurgia (Controle 14 meses)

Sorriso após cirurgia (Controle 14 meses) - Clínica Cliniface

Sorriso após cirurgia (Controle 14 meses)

Frontal Extra após cirurgia (Controle 14 meses) - Clínica Cliniface

Frontal Extra após cirurgia (Controle 14 meses)

Perfil após cirurgia (Controle 14 meses) - Clínica Cliniface

Perfil após cirurgia (Controle 14 meses)



Praça da Bíblia, 3336 | Edf. Cemed - Sala 601 | Umuarama - Pr | 44 3622-6161