Agende um horário
Clique nas imagens para ampliar
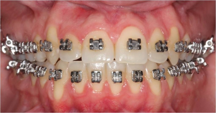
Sorriso inicial
Sorriso após a cirurgia
Perfil inicial
Perfil após a cirurgia
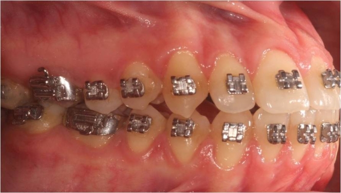
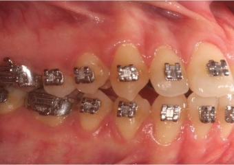
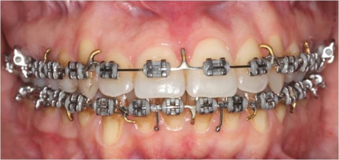
Mordida inicial
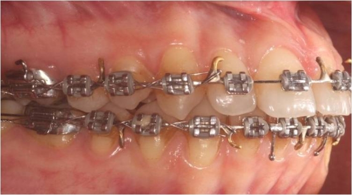
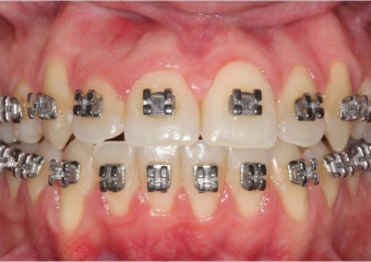
Mordida após a cirurgia
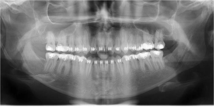
Raio x inicial
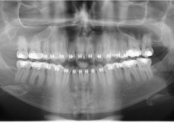
Raio x após a cirurgia
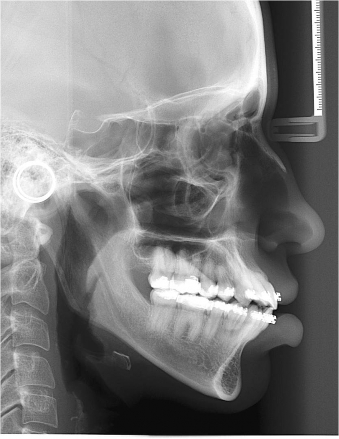
Telerradiografia inicial
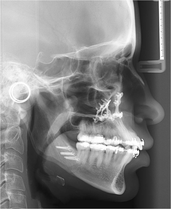
Telerradiografia após a cirurgia
Telerradiografia frontal inicial
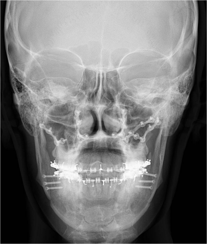
Telerradiografia frontal após a cirurgia
Praça da Bíblia, 3336 | Edf. Cemed - Sala 601 | Umuarama - Pr | 44 3622-6161