CASOS CLÍNICOS - Cirurgia Ortognática - Maxila e Mandíbula


Caso 18 - Cirurgia Ortognática de Maxila, Mandíbula, Mento e Segmentação Anterior dos 4 incisivos.

Clique nas imagens para ampliar

Sorriso Inicial - Clínica Cliniface

Sorriso Inicial

Sorriso após a cirurgia realizada em 2016 - Clínica Cliniface

Sorriso após a cirurgia realizada em 2016

Perfil Inicial  - Clínica Cliniface

Perfil Inicial

Perfil após a cirurgia realizada em 2016 - Clínica Cliniface

Perfil após a cirurgia realizada em 2016

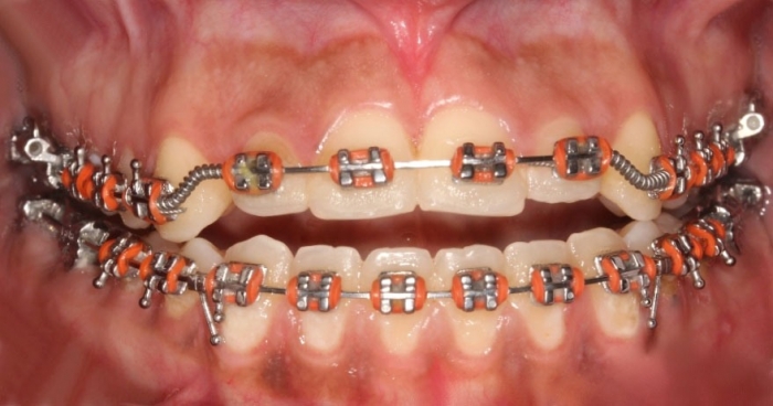
Mordida Inicial - Clínica Cliniface

Mordida Inicial

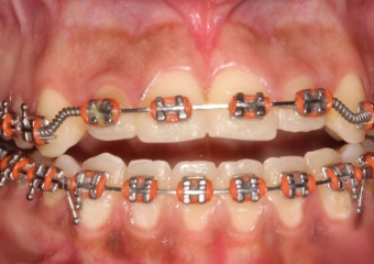
Mordida após a cirurgia  - Clínica Cliniface

Mordida após a cirurgia

Mordida Inicial - Clínica Cliniface

Mordida Inicial

Mordida após a cirurgia - Clínica Cliniface

Mordida após a cirurgia

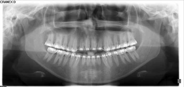
Raio - x Inicial - Clínica Cliniface

Raio - x Inicial

Raio - x após a cirurgia realizada em 2016 - Clínica Cliniface

Raio - x após a cirurgia realizada em 2016

Telerradiografia Inicial - Clínica Cliniface

Telerradiografia Inicial

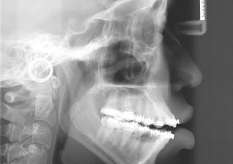
Telerradiografia após a cirurgia - Clínica Cliniface

Telerradiografia após a cirurgia

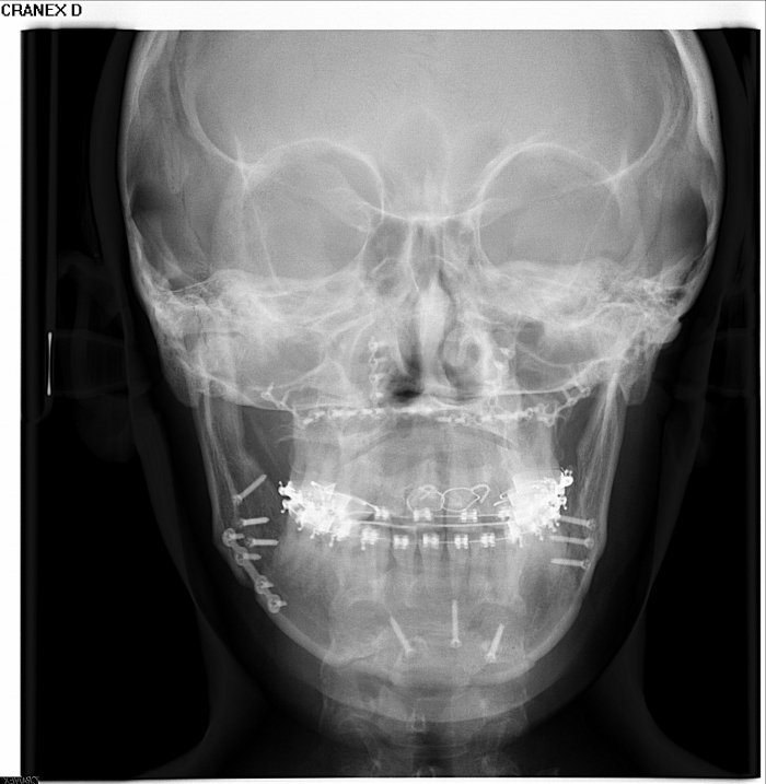
Telerradiografia Frontal Inicial - Clínica Cliniface

Telerradiografia Frontal Inicial

Telerradiografia Frontal após a cirurgia - Clínica Cliniface

Telerradiografia Frontal após a cirurgia



Praça da Bíblia, 3336 | Edf. Cemed - Sala 601 | Umuarama - Pr | 44 3622-6161