Sorriso inicial
Sorriso após a cirurgia realizada em 2015
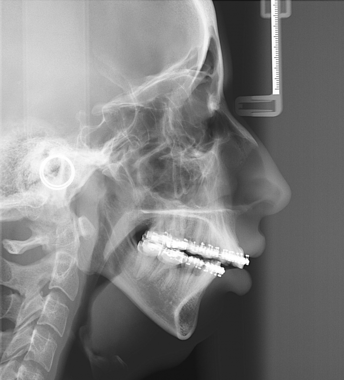
Perfil inicial
Perfil após a cirurgia realizada em 2015
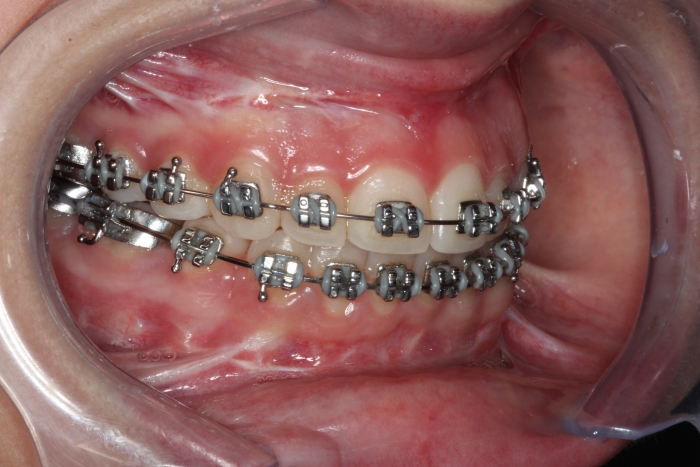
Mordida inicial
Mordida após a cirurgia
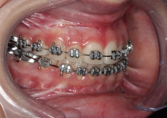
Mordida inicial
Mordida após a cirurgia
Raio x inicial
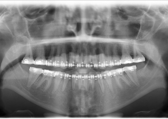
Raio x após a cirurgia realizada em 2015
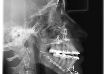
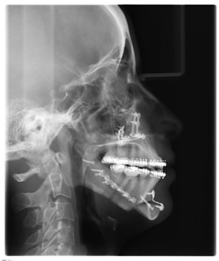
Telerradiografia inicial
Telerradiografia após a cirurgia
Sorriso inicial
Sorriso após a cirurgia (Controle 1 ano)