CASOS CLÍNICOS - Cirurgia Ortognática - Maxila e Mandíbula


Caso 20 - Cirurgia Ortognática de Maxila Mandíbula e Mento

Clique nas imagens para ampliar

Sorriso inicial - Clínica Cliniface

Sorriso inicial

Sorriso após a cirurgia realizada em 2016 - Clínica Cliniface

Sorriso após a cirurgia realizada em 2016

Perfil inicial - Clínica Cliniface

Perfil inicial

Perfil após a cirurgia realizada em 2016 - Clínica Cliniface

Perfil após a cirurgia realizada em 2016

Foto após a cirurgia 2017 - Clínica Cliniface

Foto após a cirurgia 2017

Foto após a cirurgia 2019 - Clínica Cliniface

Foto após a cirurgia 2019

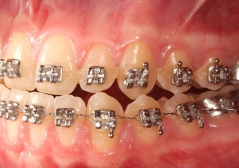
Mordida inicial - Clínica Cliniface

Mordida inicial

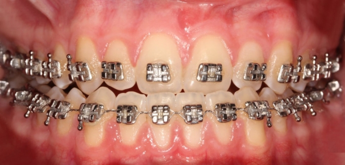
Mordida após a cirurgia realizada em 2016 - Clínica Cliniface

Mordida após a cirurgia realizada em 2016

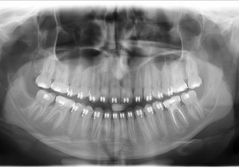
Rx Panoramico inicial - Clínica Cliniface

Rx Panoramico inicial

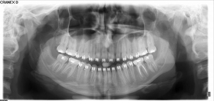
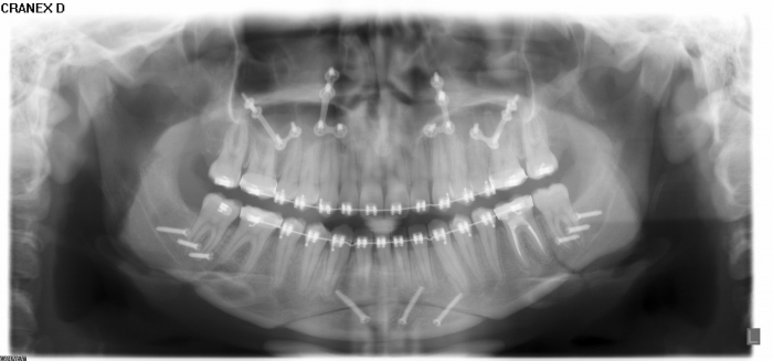
Rx Panoramico após a cirurgia  - Clínica Cliniface

Rx Panoramico após a cirurgia

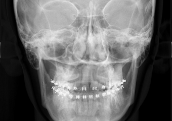
Telerradiografia frontal inicial  - Clínica Cliniface

Telerradiografia frontal inicial

Telerradiografia frontal após a cirurgia - Clínica Cliniface

Telerradiografia frontal após a cirurgia

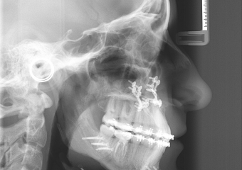
Telerradiografia perfil inicial - Clínica Cliniface

Telerradiografia perfil inicial

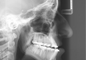
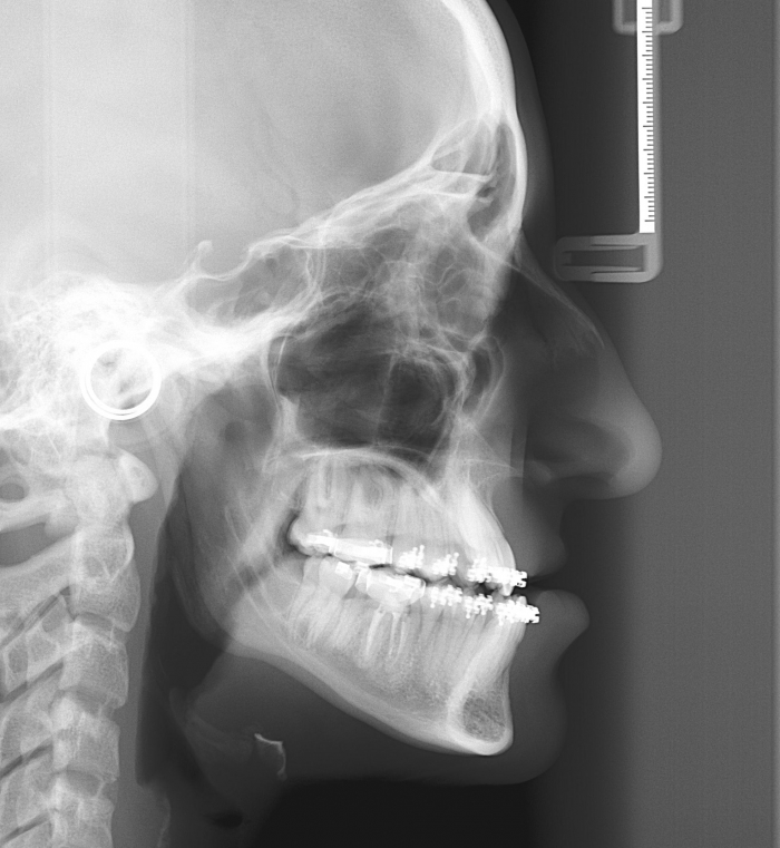
Telerradiografia perfil após a cirurgia  - Clínica Cliniface

Telerradiografia perfil após a cirurgia

Mordida inicial - Clínica Cliniface

Mordida inicial

Mordida após a cirurgia - Clínica Cliniface

Mordida após a cirurgia



Praça da Bíblia, 3336 | Edf. Cemed - Sala 601 | Umuarama - Pr | 44 3622-6161