Agende um horário
Clique nas imagens para ampliar
Perfil inicial
Perfil após a cirurgia
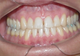
Mordida inicial
Mordida após a cirurgia
Perfil após a remoção do aparelho
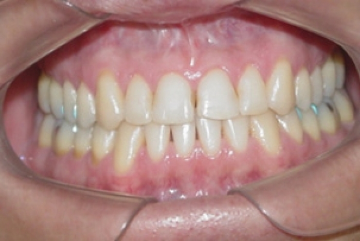
Mordida final após a remoção do aparelho
Raio X panorâmico inicial
Raio X panorâmico final
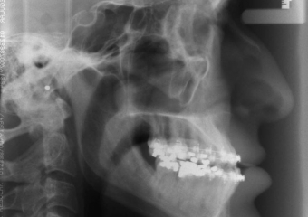
Telerradiografia inicial
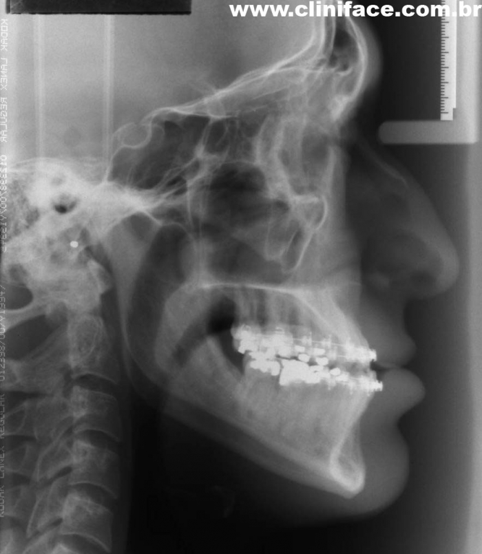
Telerradiografia final
Praça da Bíblia, 3336 | Edf. Cemed - Sala 601 | Umuarama - Pr | 44 3622-6161