Agende um horário
Clique nas imagens para ampliar
Imagens iniciais
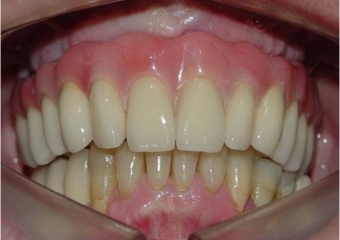
Imagem inicial
Raio X inicial
Implantes e minipilares instalados
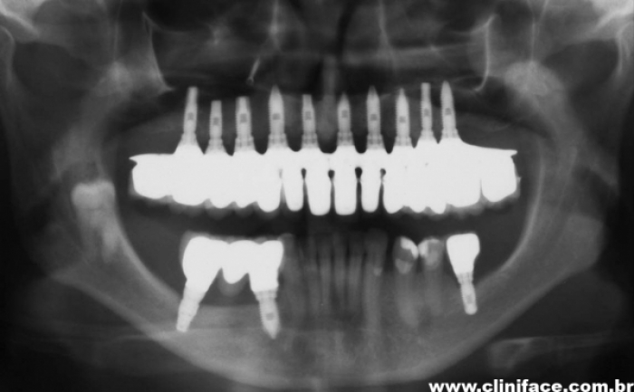
Raio X final
Prótese fixa em porcelana instalada
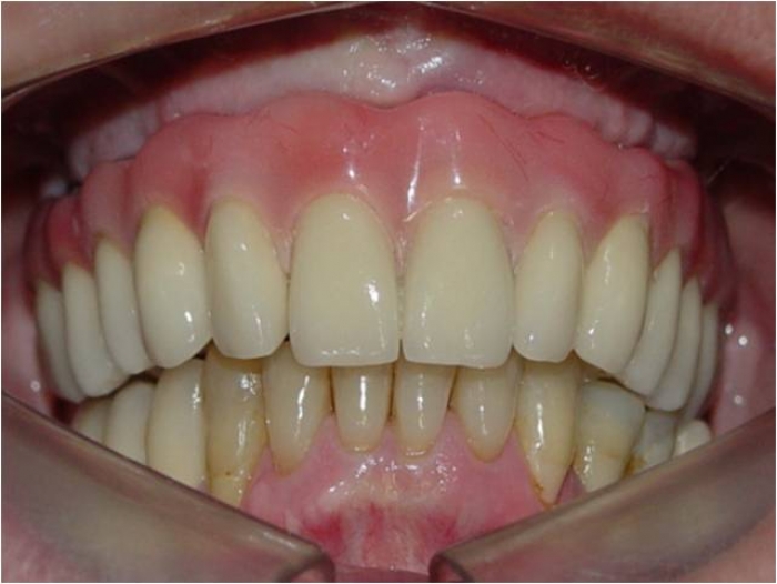
Sorriso final, do caso terminado em Julho de 2009
Imagem final
Imagens da prótese no laboratório
Praça da Bíblia, 3336 | Edf. Cemed - Sala 601 | Umuarama - Pr | 44 3622-6161