Imagem perfil inicial
Imagem inicial intra oral
Raio X inicial
Raio X após instalação dos implantes
Imagem do caso terminado em outubro de 2009
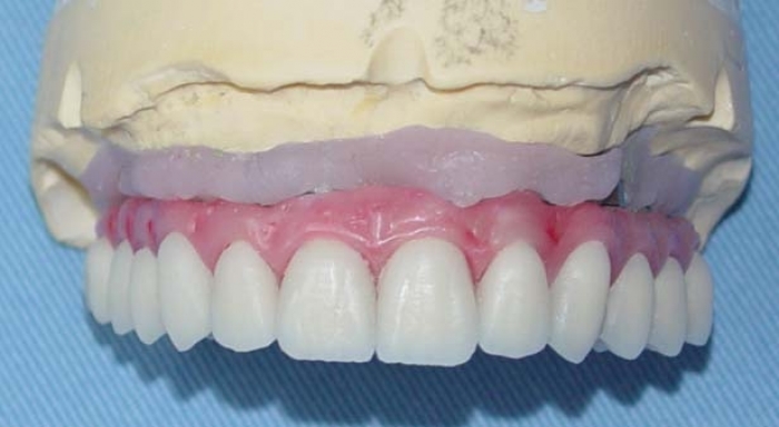
Prótese fixa de porcelana com dentes individuais
Imagens da prótese de porcelana com dentes individuais, ainda no laboratório
Raio X final