CASOS CLÍNICOS - Implantes Cone Morse - Reabilitação Total com Implantes e Prótese em Porcelana - Porcelana Caracterizada com Dentes Individuais


Caso 01 - Prótese Fixa em Porcelana

Clique nas imagens para ampliar

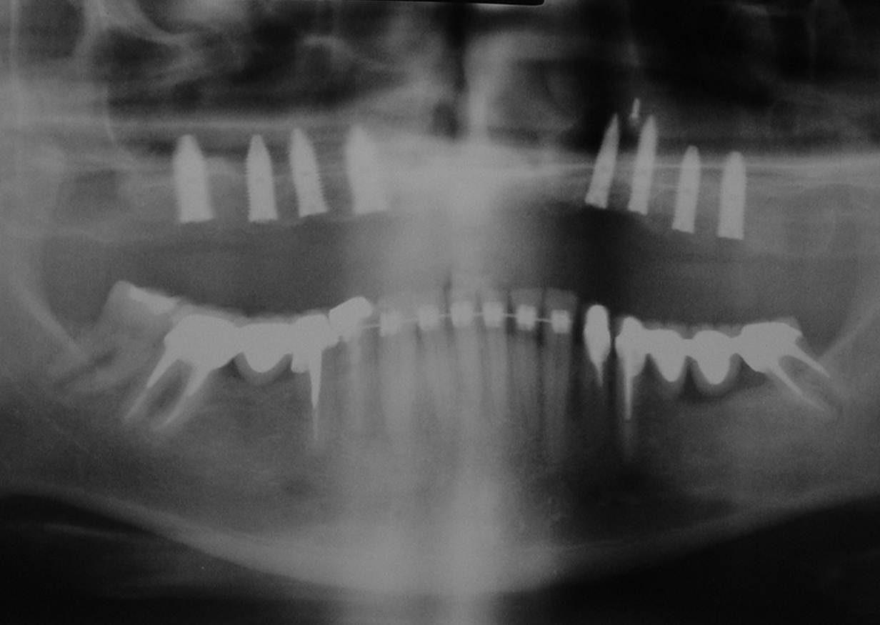
Raio X com 08 implantes Cone Morse instalados na maxila - Clínica Cliniface

Raio X com 08 implantes Cone Morse instalados na maxila

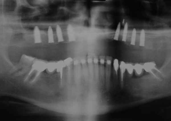
Raio X com a prótese fixa em resina instalada sobre implantes Cone Morse - Clínica Cliniface

Raio X com a prótese fixa em resina instalada sobre implantes Cone Morse

Raio X com prótese em porcelana com dentes individuais instalada - Clínica Cliniface

Raio X com prótese em porcelana com dentes individuais instalada

Prótese com dentes individuais no laboratório  - Clínica Cliniface

Prótese com dentes individuais no laboratório

Prótese fixa em porcelana instalada - Clínica Cliniface

Prótese fixa em porcelana instalada

Sorriso final - Clínica Cliniface

Sorriso final

Sorriso final de perfil - Clínica Cliniface

Sorriso final de perfil



Praça da Bíblia, 3336 | Edf. Cemed - Sala 601 | Umuarama - Pr | 44 3622-6161