Raio X inicial
Raio X final com prótese fixa superior em porcelana e zircônia sobre implantes Cone Morse
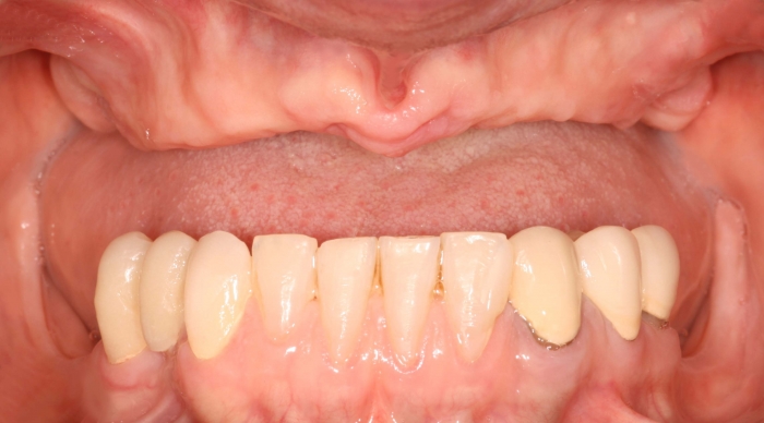
Imagem inicial
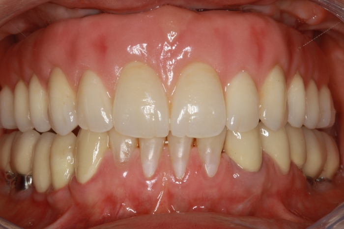
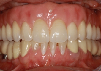
Prótese fixa em porcelana sobre implantes
Perfil inicial
Imagem inicial
Imagens da prótese fixa em porcelana e zircônia sobre implantes, do caso terminado em Fevereiro 2012