Imagens iniciais, dos dentes e implante comprometidos realizados por outro profissional
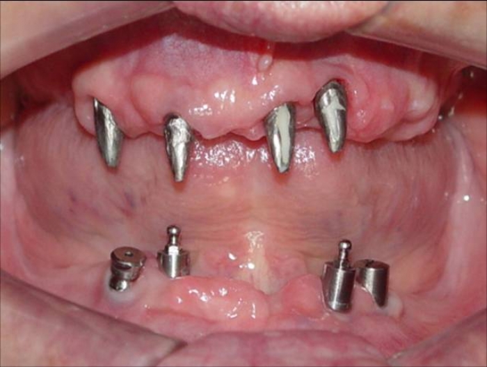
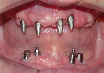
Imagens após remoção dos dentes e do implante comprometido
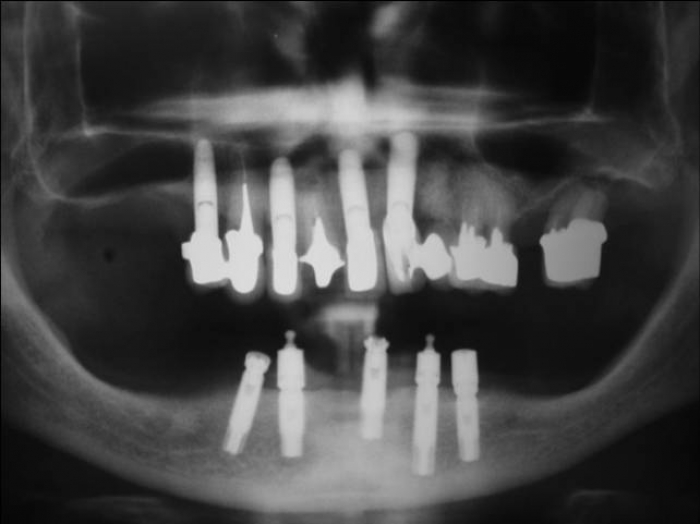
Raio X com implantes Cone Morse e próteses fixas em porcelana
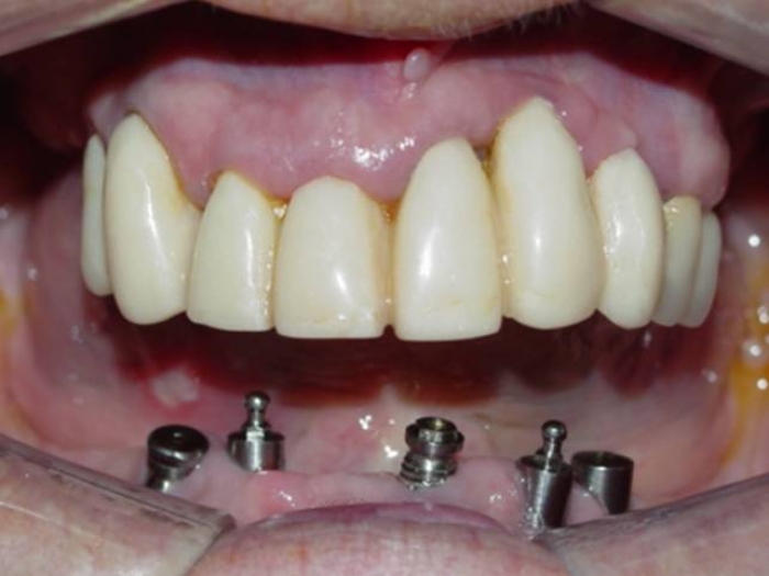
Próteses fixas em porcelana sobre implantes
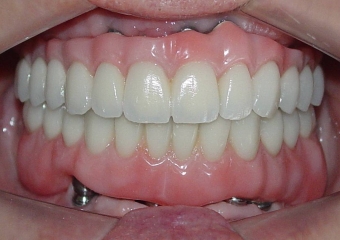
Sorriso do caso finalizado em maio de 2012