CASOS CLÍNICOS - Implantes Cone Morse - Reabilitação Total com Implantes e Prótese em Porcelana - Porcelana Caracterizada


Caso 03 - Prótese Fixa em Porcelana

Clique nas imagens para ampliar

Imagem perfil inicial - Clínica Cliniface

Imagem perfil inicial

Imagem perfil final do caso terminado em maio 2012 - Clínica Cliniface

Imagem perfil final do caso terminado em maio 2012

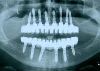
Raio X inicial - Clínica Cliniface

Raio X inicial

Raio X final com próteses fixas instaladas - Clínica Cliniface

Raio X final com próteses fixas instaladas

Imagem inicial - Clínica Cliniface

Imagem inicial

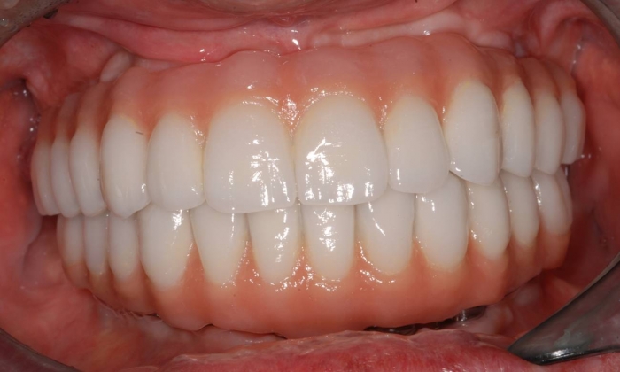
Imagem com próteses fixas em porcelana - Clínica Cliniface

Imagem com próteses fixas em porcelana

Imagem inicial - Clínica Cliniface

Imagem inicial

Sorriso final após enxerto de ilíaco, implantes e próteses fixas - Clínica Cliniface

Sorriso final após enxerto de ilíaco, implantes e próteses fixas

Imagem final, do caso terminado em Maio de 2012 - Clínica Cliniface

Imagem final, do caso terminado em Maio de 2012

Raio x com 2 anos de controle  - Clínica Cliniface

Raio x com 2 anos de controle

Imagem com 2 anos de controle - Clínica Cliniface

Imagem com 2 anos de controle



Praça da Bíblia, 3336 | Edf. Cemed - Sala 601 | Umuarama - Pr | 44 3622-6161