Agende um horário
Clique nas imagens para ampliar
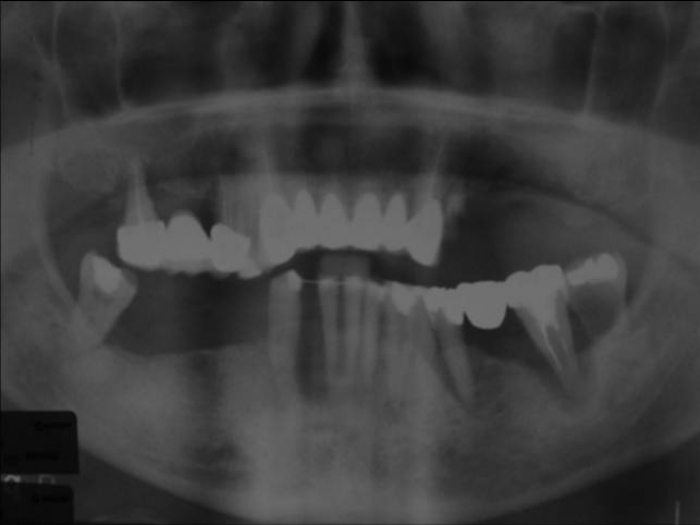
Raio X inicial
Raio X final com próteses fixas instaladas
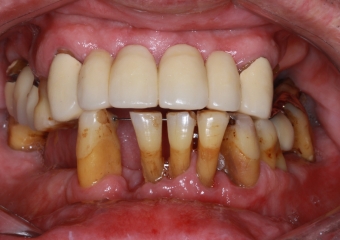
Imagem inicial com vários dentes comprometidos
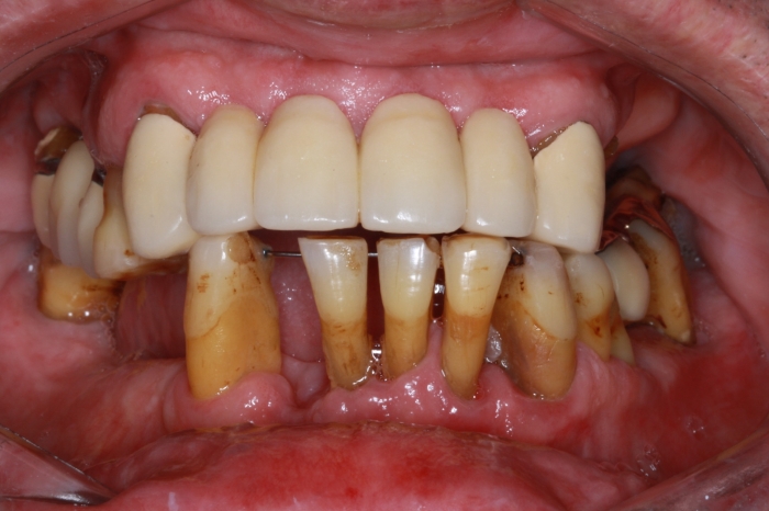
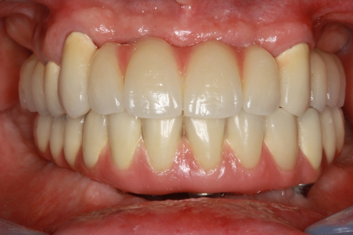
Próteses fixas em porcelana superior e inferior sobre implantes Cone Morse
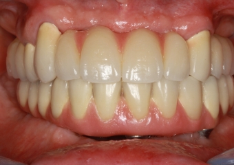
Sorriso final do caso terminado em 2012
Praça da Bíblia, 3336 | Edf. Cemed - Sala 601 | Umuarama - Pr | 44 3622-6161