CASOS CLÍNICOS - Implantes Cone Morse - Reabilitação Total com Implantes e Prótese em Porcelana - Porcelana Caracterizada


Caso 06 - Prótese Fixa em Porcelana Superior e Inferior

Clique nas imagens para ampliar

Imagens iniciais - Clínica Cliniface

Imagens iniciais

Imagem inicial - Clínica Cliniface

Imagem inicial

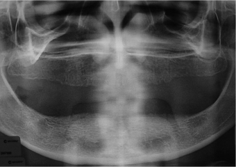
Raio X inicial - Clínica Cliniface

Raio X inicial

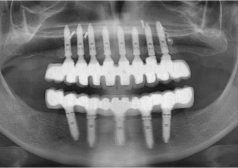
Raio X dos implantes inferiores - Clínica Cliniface

Raio X dos implantes inferiores

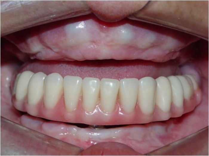
Prótese fixa provisória inferior - Clínica Cliniface

Prótese fixa provisória inferior

Raio X do enxerto ósseo na maxila com osso de calota craniana - Clínica Cliniface

Raio X do enxerto ósseo na maxila com osso de calota craniana

Raio X dos implantes Cone Morse superiores - Clínica Cliniface

Raio X dos implantes Cone Morse superiores

Próteses fixas sobre implantes, provisórias - Clínica Cliniface

Próteses fixas sobre implantes, provisórias

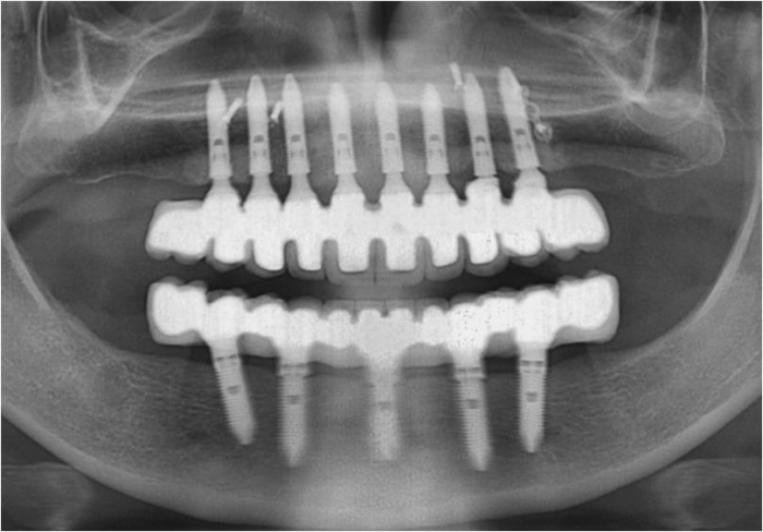
Raio X  final das próteses fixas em porcelana - Clínica Cliniface

Raio X final das próteses fixas em porcelana

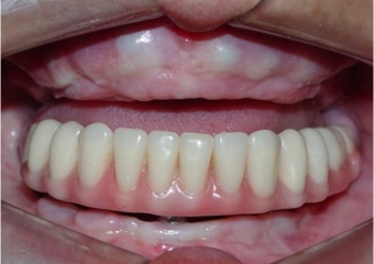
Sorriso final do caso terminado em outubro de 2012 - Clínica Cliniface

Sorriso final do caso terminado em outubro de 2012



Praça da Bíblia, 3336 | Edf. Cemed - Sala 601 | Umuarama - Pr | 44 3622-6161