Perfil inicial
Perfil final
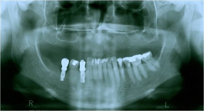
Raio x inicial
Raio x após enxerto de ilíaco
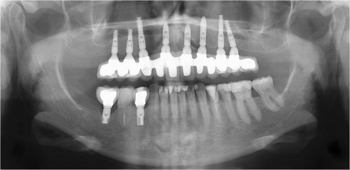
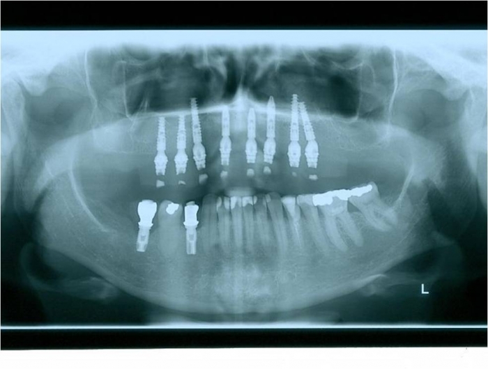
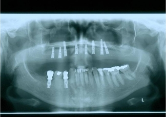
Raio x após instalação dos implantes superiores Cone Morse
Raio x após prótese fixa provisória instalada
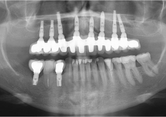
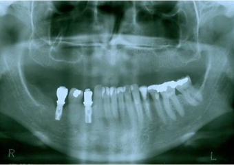
Raio x final
Imagem inicial
Prótese fixa superior em porcelana
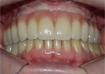
Imagem inicial
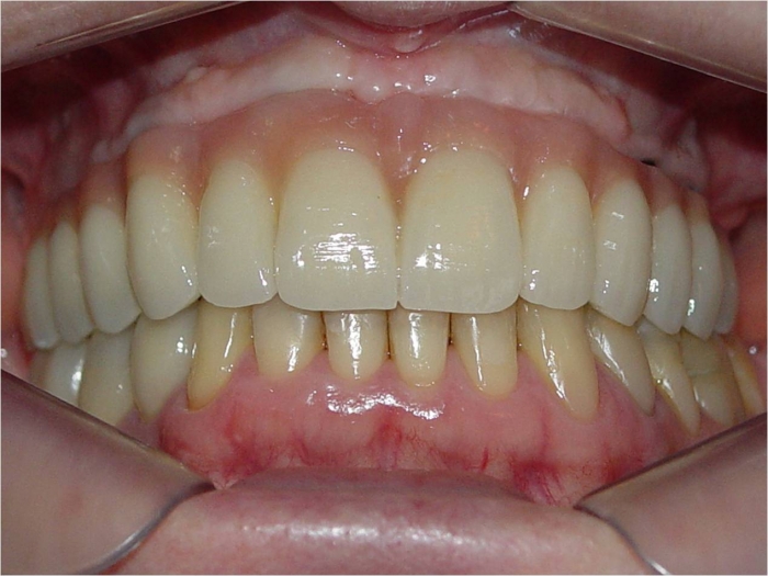
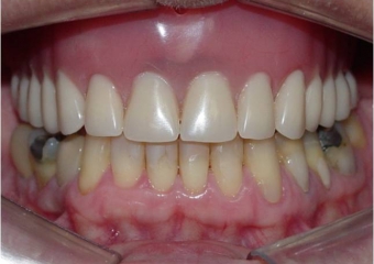
Sorriso final, do caso terminado em fevereiro de 2014